Antibody data
- Antibody Data
- Antigen structure
- References [0]
- Comments [0]
- Validations
- Western blot [2]
- Immunocytochemistry [1]
- Immunohistochemistry [1]
Submit
Validation data
Reference
Comment
Report error
- Product number
- NBP2-29991 - Provider product page

- Provider
- Novus Biologicals
- Product name
- Rabbit Polyclonal EXOC3L1 Antibody
- Antibody type
- Polyclonal
- Description
- Protein A purified.
- Reactivity
- Human, Mouse
- Host
- Rabbit
- Isotype
- IgG
- Vial size
- 0.4 ml
- Concentration
- 0.78 mg/ml
- Storage
- Store at 4C short term. Aliquot and store at -20C long term. Avoid freeze-thaw cycles.
No comments: Submit comment
Supportive validation
- Submitted by
- Novus Biologicals (provider)
- Main image

- Experimental details
- Western Blot: EXOC3L1 Antibody [NBP2-29991] - Western blot analysis in mouse liver tissue lysates (35ug/lane).This demonstrates the EXOC3L antibody detected the EXOC3L protein (arrow).
- Submitted by
- Novus Biologicals (provider)
- Main image

- Experimental details
- Western Blot: EXOC3L1 Antibody [NBP2-29991] - Western blot analysis in HepG2 cell line lysates (35ug/lane).This demonstrates the EXOC3L antibody detected the EXOC3L protein (arrow).
Supportive validation
- Submitted by
- Novus Biologicals (provider)
- Main image

- Experimental details
- Immunocytochemistry/Immunofluorescence: EXOC3L1 Antibody [NBP2-29991] - Confocal immunofluorescent analysis of EXOC3L Antibody (C-term)(NBP2-29991) with HepG2 cell followed by Alexa Fluor 488-conjugated goat anti-rabbit lgG (green). DAPI was used to stain the cell nuclear (blue).
Supportive validation
- Submitted by
- Novus Biologicals (provider)
- Main image

- Experimental details
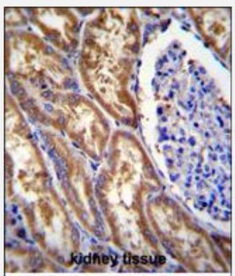
- Immunohistochemistry: EXOC3L1 Antibody [NBP2-29991] - EXOC3L Antibody (C-term) (NBP2-29991 )immunohistochemistry analysis in formalin fixed and paraffin embedded human kidney tissue followed by peroxidase conjugation of the secondary antibody and DAB staining.This data demonstrates the use of EXOC3L Antibody (C-term) for immunohistochemistry. Clinical relevance has not been evaluated.