Antibody data
- Antibody Data
- Antigen structure
- References [0]
- Comments [0]
- Validations
- Western blot [1]
- Immunocytochemistry [1]
- Immunohistochemistry [1]
Submit
Validation data
Reference
Comment
Report error
- Product number
- GTX116521 - Provider product page

- Provider
- GeneTex
- Proper citation
- GeneTex Cat#GTX116521, RRID:AB_11165154
- Product name
- ZNF501 antibody [N2C3]
- Antibody type
- Polyclonal
- Reactivity
- Human
- Host
- Rabbit
No comments: Submit comment
Supportive validation
- Submitted by
- GeneTex (provider)
- Main image

- Experimental details
- Sample (30 ug of whole cell lysate) A: U87-MG 12% SDS PAGE GTX116521 diluted at 1:1000
Supportive validation
- Submitted by
- GeneTex (provider)
- Main image

- Experimental details
- ZNF501 antibody [N2C3] detects ZNF501 protein at nucleus by immunofluorescent analysis.Sample: U87-MG cells were fixed in 4% paraformaldehyde at RT for 15 min.Green: ZNF501 protein stained by ZNF501 antibody [N2C3] (GTX116521) diluted at 1:500.Blue: Hoechst 33342 staining.
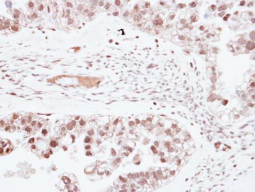
Supportive validation
- Submitted by
- GeneTex (provider)
- Main image

- Experimental details
- Immunohistochemical analysis of paraffin-embedded human ovarian cancer, using ZNF501(GTX116521) antibody at 1:250 dilution.