Antibody data
- Antibody Data
- Antigen structure
- References [0]
- Comments [0]
- Validations
- Western blot [2]
- ELISA [2]
- Immunohistochemistry [3]
Submit
Validation data
Reference
Comment
Report error
- Product number
- LS-B7353 - Provider product page

- Provider
- LSBio
- Product name
- IHC-plus™ ADRM1 Antibody (clone 3D11) LS-B7353
- Antibody type
- Monoclonal
- Description
- Purified from ascites by Protein A
- Reactivity
- Human
- Host
- Mouse
- Isotype
- IgG
- Antibody clone number
- 3D11
- Storage
- Store at -20°C or lower. Aliquot to avoid freeze-thaw cycles.
No comments: Submit comment
Enhanced validation
- Submitted by
- LSBio (provider)
- Enhanced method
- Genetic validation
- Main image

- Experimental details
- ADRM1 monoclonal antibody (M02), clone 3D11. Western blot of ADRM1 expression in HeLa.
- Submitted by
- LSBio (provider)
- Enhanced method
- Genetic validation
- Main image

- Experimental details
- Western blot of ADRM1 expression in transfected 293T cell line by ADRM1 monoclonal antibody (M02), clone 3D11.
Supportive validation
- Submitted by
- LSBio (provider)
- Enhanced method
- Genetic validation
- Main image

- Experimental details
- Detection limit for recombinant GST tagged ADRM1 is 0.03 ng/ml as a capture antibody.
- Submitted by
- LSBio (provider)
- Main image

- Experimental details
- Detection limit for recombinant GST tagged ADRM1 is 0.03 ng/ml as a capture antibody.
Supportive validation
- Submitted by
- LSBio (provider)
- Enhanced method
- Genetic validation
- Main image

- Experimental details
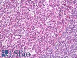
- Anti-ADRM1 antibody IHC of human tonsil, germinal center. Immunohistochemistry of formalin-fixed, paraffin-embedded tissue after heat-induced antigen retrieval. Antibody concentration 10 ug/ml.
- Submitted by
- LSBio (provider)
- Enhanced method
- Genetic validation
- Main image

- Experimental details
- Anti-ADRM1 antibody IHC of human tonsil, germinal center. Immunohistochemistry of formalin-fixed, paraffin-embedded tissue after heat-induced antigen retrieval. Antibody concentration 10 ug/ml.
- Submitted by
- LSBio (provider)
- Enhanced method
- Genetic validation
- Main image

- Experimental details
- Anti-ADRM1 antibody IHC of human tonsil, germinal center. Immunohistochemistry of formalin-fixed, paraffin-embedded tissue after heat-induced antigen retrieval. Antibody concentration 10 ug/ml.