Antibody data
- Antibody Data
- Antigen structure
- References [3]
- Comments [0]
- Validations
- Western blot [1]
- Immunohistochemistry [2]
Submit
Validation data
Reference
Comment
Report error
- Product number
- 13844-1-AP - Provider product page 
- Provider
- Proteintech Group
- Proper citation
- Proteintech Cat#13844-1-AP, RRID:AB_2181817
- Product name
- RND2 antibody
- Antibody type
- Polyclonal
- Description
- KD/KO validated RND2 antibody (Cat. #13844-1-AP) is a rabbit polyclonal antibody that shows reactivity with human, mouse and has been validated for the following applications: IP, WB,ELISA.
- Reactivity
- Human, Mouse
- Host
- Rabbit
- Conjugate
- Unconjugated
- Isotype
- IgG
- Vial size
- 20ul, 150ul
Submitted references		The atypical Rho GTPase Rnd2 is critical for dentate granule neuron development and anxiety-like behavior during adult but not neonatal neurogenesis.
				
RND2 attenuates apoptosis and autophagy in glioblastoma cells by targeting the p38 MAPK signalling pathway.
				
Sema3E-Plexin D1 signaling drives human cancer cell invasiveness and metastatic spreading in mice.
				
		
	
			Kerloch T, Farrugia F, Bouit L, MaƮtre M, Terral G, Koehl M, Mortessagne P, Heng JI, Blanchard M, Doat H, Leste-Lasserre T, Goron A, Gonzales D, Perrais D, Guillemot F, Abrous DN, Pacary E
Molecular psychiatry 2021 Dec;26(12):7280-7295
		Molecular psychiatry 2021 Dec;26(12):7280-7295
RND2 attenuates apoptosis and autophagy in glioblastoma cells by targeting the p38 MAPK signalling pathway.
			Xu Y, Sun Q, Yuan F, Dong H, Zhang H, Geng R, Qi Y, Xiong X, Chen Q, Liu B
Journal of experimental & clinical cancer research : CR 2020 Aug 31;39(1):174
		Journal of experimental & clinical cancer research : CR 2020 Aug 31;39(1):174
Sema3E-Plexin D1 signaling drives human cancer cell invasiveness and metastatic spreading in mice.
			Casazza A, Finisguerra V, Capparuccia L, Camperi A, Swiercz JM, Rizzolio S, Rolny C, Christensen C, Bertotti A, Sarotto I, Risio M, Trusolino L, Weitz J, Schneider M, Mazzone M, Comoglio PM, Tamagnone L
The Journal of clinical investigation 2010 Aug;120(8):2684-98
		The Journal of clinical investigation 2010 Aug;120(8):2684-98
				No comments: Submit comment	
	
			
							
					Supportive validation
					
									
				
				- Submitted by
- Proteintech Group (provider)
- Main image
 
- Experimental details
- mouse uterus tissue were subjected to SDS PAGE followed by western blot with 13844-1-AP(RND2 antibody) at dilution of 1:300
- Sample type
- tissue
							
					Supportive validation
					
									
				
		
		- Submitted by
- Proteintech Group (provider)
- Main image
 
- Experimental details
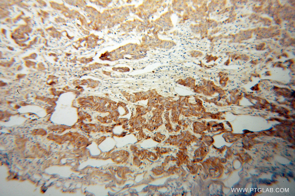
- Immunohistochemical of paraffin-embedded human prostate cancer using 13844-1-AP(RND2 antibody) at dilution of 1:50 (under 10x lens)
- Sample type
- tissue
- Submitted by
- Proteintech Group (provider)
- Main image
 
- Experimental details
- The RND2 antibody from Proteintech is a rabbit polyclonal antibody to a recombinant protein of human RND2. This antibody recognizes human, mouse, rat antigen. The RND2 antibody has been validated for the following applications: ELISA, WB, IHC analysis.