Antibody data
- Antibody Data
- Antigen structure
- References [0]
- Comments [0]
- Validations
- Western blot [1]
- Immunohistochemistry [2]
Submit
Validation data
Reference
Comment
Report error
- Product number
- TA351226 - Provider product page

- Provider
- OriGene
- Product name
- Rabbit Polyclonal Anti-GNAT3 Antibody
- Antibody type
- Polyclonal
- Description
- Rabbit Polyclonal Anti-GNAT3 Antibody
- Host
- Rabbit
- Conjugate
- Unconjugated
- Epitope
- GNAT3
- Isotype
- IgG
- Antibody clone number
- NULL
- Vial size
- 100 µl
- Concentration
- 2.1 mg/ml
No comments: Submit comment
Supportive validation
- Submitted by
- OriGene (provider)
- Main image

- Experimental details
- Gel: 8%SDS-PAGE, Lysate: 40 ug, Lane 1-2: Mouse heart tissue, Mouse muscle tissue, Primary antibody: (GNAT3 Antibody) at dilution 1/400, Secondary antibody: Goat anti rabbit IgG at 1/8000 dilution, Exposure time: 1 minute
- Validation comment
- WB
Supportive validation
- Submitted by
- OriGene (provider)
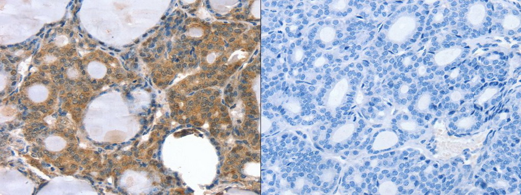
- Main image

- Experimental details
- The image on the left is immunohistochemistry of paraffin-embedded Human thyroid cancer tissue using (GNAT3 Antibody) at dilution 1/35, on the right is treated with synthetic peptide. (Original magnification: ?200)
- Validation comment
- IHC
- Submitted by
- OriGene (provider)
- Main image

- Experimental details
- The image on the left is immunohistochemistry of paraffin-embedded Human esophagus cancer tissue using (GNAT3 Antibody) at dilution 1/35, on the right is treated with synthetic peptide. (Original magnification: ?200)
- Validation comment
- IHC