Antibody data
- Antibody Data
- Antigen structure
- References [0]
- Comments [0]
- Validations
- Western blot [1]
- Immunohistochemistry [1]
Submit
Validation data
Reference
Comment
Report error
- Product number
- AP30177PU-N - Provider product page

- Provider
- Acris Antibodies GmbH
- Proper citation
- Acris Antibodies GmbH Cat#AP30177PU-N, RRID:AB_10671326
- Product name
- anti Calpain-6
- Antibody type
- Polyclonal
- Antigen
- CAPN6 antibody was raised against a 18 amino acid peptide from near the carboxy terminus of human CAPN6. (AP30177CP-N)
- Reactivity
- Human, Mouse, Rat
- Host
- Rabbit
- Isotype
- IgG
- Vial size
- 0.1 mg
No comments: Submit comment
Supportive validation
- Submitted by
- Acris Antibodies GmbH (provider)
- Main image

- Experimental details
- Western blot analysis of CAPN6 in rat lung tissue lysate with AP30177PU-N CAPN6 antibody at (A) 0.5 and (B) 1 μg/ml.
Supportive validation
- Submitted by
- Acris Antibodies GmbH (provider)
- Main image

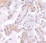
- Experimental details
- Immunohistochemistry of CAPN6 in human lung tissue with AP30177PU-N CAPN6 antibody at 2.5 μg/ml.