Antibody data
- Antibody Data
- Antigen structure
- References [0]
- Comments [0]
- Validations
- Western blot [1]
- Immunohistochemistry [1]
Submit
Validation data
Reference
Comment
Report error
- Product number
- AP21851PU-N - Provider product page

- Provider
- Acris Antibodies GmbH
- Proper citation
- Acris Antibodies GmbH Cat#AP21851PU-N, RRID:AB_10779211
- Product name
- anti GPR18 / NAGly receptor
- Antibody type
- Polyclonal
- Antigen
- A portion of amino acids 1-50 of human GPR18
- Reactivity
- Human, Mouse, Rat
- Host
- Rabbit
- Vial size
- 0.1 mg
- Concentration
- 0,5 mg/ml
No comments: Submit comment
Supportive validation
- Submitted by
- Acris Antibodies GmbH (provider)
- Main image

- Experimental details
- Western blot analysis of GPR18 in human spleen lysate (4 µg/ml) in the 1) absence and 2) presence of immunizing peptide 3) mouse spleen (6 µg/ml) and 4) rat spleen lysate (3 µg/ml) using AP21851PU-N.
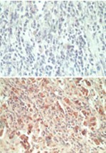
Supportive validation
- Submitted by
- Acris Antibodies GmbH (provider)
- Main image

- Experimental details
- Immunohistochemical analysis of GPR18 in paraffin-embedded formalin-fixed human breast tumor tissue using an isotype control (top) and AP21851PU-N(bottom) at 5 µg/ml.