Antibody data
- Antibody Data
- Antigen structure
- References [1]
- Comments [0]
- Validations
- Western blot [1]
- Immunohistochemistry [1]
- Flow cytometry [1]
Submit
Validation data
Reference
Comment
Report error
- Product number
- ABIN2177857 - Provider product page

- Provider
- antibodies-online
- Product name
- anti-Nephrosis 1, Congenital, Finnish Type (Nephrin) (NPHS1) (AA 480-530) antibody
- Antibody type
- Polyclonal
- Description
- Purified by Protein A.
- Reactivity
- Human, Mouse, Rat
- Host
- Rabbit
- Epitope
- AA 480-530
- Isotype
- IgG
- Vial size
- 100 μL
- Storage
- Store at -20°C
Submitted references Combination therapy of exendin-4 and allogenic adipose-derived mesenchymal stem cell preserved renal function in a chronic kidney disease and sepsis syndrome setting in rats.
Chen CH, Cheng BC, Chen KH, Shao PL, Sung PH, Chiang HJ, Yang CC, Lin KC, Sun CK, Sheu JJ, Chang HW, Lee MS, Yip HK
Oncotarget 2017 Nov 21;8(59):100002-100020
Oncotarget 2017 Nov 21;8(59):100002-100020
No comments: Submit comment
Supportive validation
- Submitted by
- antibodies-online (provider)
- Main image

- Experimental details
- WB
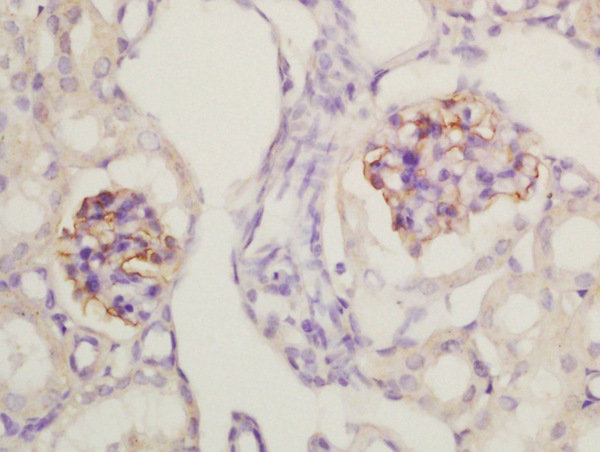
Supportive validation
- Submitted by
- antibodies-online (provider)
- Main image

- Experimental details
- IHC
Supportive validation
- Submitted by
- antibodies-online (provider)
- Main image

- Experimental details
- FACS