Antibody data
- Antibody Data
- Antigen structure
- References [1]
- Comments [0]
- Validations
- Immunohistochemistry [4]
Submit
Validation data
Reference
Comment
Report error
- Product number
- LS-A1014 - Provider product page

- Provider
- LSBio
- Product name
- PathPlus™ LPAR3 / LPA3 / EDG7 Antibody (Cytoplasmic Domain) LS-A1014
- Antibody type
- Polyclonal
- Description
- Immunoaffinity purified
- Reactivity
- Human, Mouse, Rat, Bovine, Canine, Hamster, Horse, Simian
- Host
- Rabbit
- Storage
- Aliquot and store undiluted at -20°C or below for up to 1 year. Can be stored undiluted at 4°C for up to 1 month. Avoid freeze-thaw cycles.
Submitted references Reduced expression of biomarkers associated with the implantation window in women with endometriosis.
Wei Q, St Clair JB, Fu T, Stratton P, Nieman LK
Fertility and sterility 2009 May;91(5):1686-91
Fertility and sterility 2009 May;91(5):1686-91
No comments: Submit comment
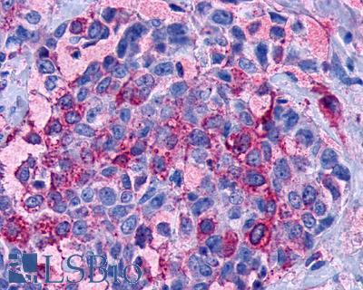
Supportive validation
- Submitted by
- LSBio (provider)
- Main image

- Experimental details
- Breast, Carcinoma
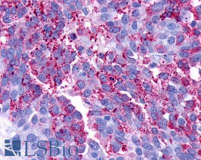
- Submitted by
- LSBio (provider)
- Main image

- Experimental details
- Colon, Carcinoma
- Submitted by
- LSBio (provider)
- Main image

- Experimental details
- Lung, small cell carcinoma
- Submitted by
- LSBio (provider)
- Main image

- Experimental details
- Ovary, Carcinoma