Antibody data
- Antibody Data
- Antigen structure
- References [1]
- Comments [0]
- Validations
- Immunohistochemistry [1]
Submit
Validation data
Reference
Comment
Report error
- Product number
- bs-2882R - Provider product page

- Provider
- Bioss
- Proper citation
- Bioss Cat#bs-2882R, RRID:AB_10856165
- Product name
- LPA3 Polyclonal Antibody
- Antibody type
- Polyclonal
- Description
- KLH conjugated synthetic peptide derived from human EDG7/LPA3
- Reactivity
- Human, Mouse, Rat
- Host
- Rabbit
- Conjugate
- Unconjugated
- Isotype
- IgG
- Vial size
- 100ul
- Concentration
- 1ug/ul
- Storage
- Aqueous buffered solution containing 1% BSA, 50% glycerol and 0.09% sodium azide. Store at -20°C for 12 months.
Submitted references Selective activation of cannabinoid receptor-2 reduces neuroinflammation after traumatic brain injury via alternative macrophage polarization.
Braun M, Khan ZT, Khan MB, Kumar M, Ward A, Achyut BR, Arbab AS, Hess DC, Hoda MN, Baban B, Dhandapani KM, Vaibhav K
Brain, behavior, and immunity 2018 Feb;68:224-237
Brain, behavior, and immunity 2018 Feb;68:224-237
No comments: Submit comment
Supportive validation
- Submitted by
- Bioss (provider)
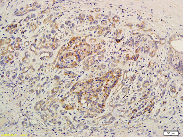
- Main image

- Experimental details
- Formalin-fixed and paraffin embedded human pancreatic cancer labeled with Anti-EDG7/LPA3 Polyclonal Antibody, Unconjugated (bs-2882R) at 1:400 followed by conjugation to the secondary antibody and DAB staining
- Sample type
- Human
- Other comments
- Pancreas