Antibody data
- Antibody Data
- Antigen structure
- References [0]
- Comments [0]
- Validations
- Immunohistochemistry [4]
Submit
Validation data
Reference
Comment
Report error
- Product number
- LS-A100057 - Provider product page
- Provider
- LSBio
- Product name
- IHC-plus™ LPAR3 / LPA3 / EDG7 Antibody (Cytoplasmic Domain, Biotin) LS-A100057
- Antibody type
- Polyclonal
- Description
- Immunoaffinity purified
- Reactivity
- Human, Mouse, Bovine, Canine, Horse
- Host
- Rabbit
- Conjugate
- Biotin
- Storage
- Aliquot and store undiluted at -20°C or below for up to 1 year. Can be stored undiluted at 4°C for up to 1 month. Avoid freeze-thaw cycles.
No comments: Submit comment
Supportive validation
- Submitted by
- LSBio (provider)
- Main image
- Experimental details
- Anti-EDG7 antibody IHC of human brain, amygdala. Immunohistochemistry of formalin-fixed, paraffin-embedded tissue after heat-induced antigen retrieval.
- Submitted by
- LSBio (provider)
- Main image
- Experimental details
- Anti-LPAR3 / LPA3 / EDG7 antibody IHC of human Colon, Carcinoma. Immunohistochemistry of formalin-fixed, paraffin-embedded tissue after heat-induced antigen retrieval.
- Submitted by
- LSBio (provider)
- Main image
- Experimental details
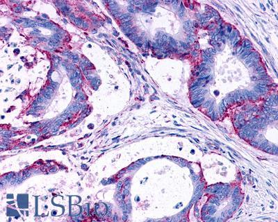
- Anti-LPAR3 / LPA3 / EDG7 antibody IHC of human Prostate, Carcinoma. Immunohistochemistry of formalin-fixed, paraffin-embedded tissue after heat-induced antigen retrieval.
- Submitted by
- LSBio (provider)
- Main image
- Experimental details
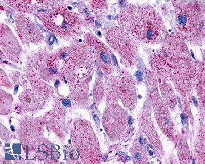
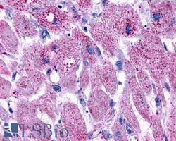
- Anti-LPAR3 / LPA3 / EDG7 antibody IHC of human heart, myocardial infarct. Immunohistochemistry of formalin-fixed, paraffin-embedded tissue after heat-induced antigen retrieval.