Antibody data
- Antibody Data
- Antigen structure
- References [0]
- Comments [0]
- Validations
- Western blot [2]
- Immunohistochemistry [2]
Submit
Validation data
Reference
Comment
Report error
- Product number
- A300-624A - Provider product page

- Provider
- Invitrogen Antibodies
- Product name
- DHX8 Polyclonal Antibody
- Antibody type
- Polyclonal
- Antigen
- Other
- Reactivity
- Human, Mouse
- Host
- Rabbit
- Isotype
- IgG
- Vial size
- 100 µL
- Concentration
- 0.20 mg/mL
- Storage
- 4° C
No comments: Submit comment
Supportive validation
- Submitted by
- Invitrogen Antibodies (provider)
- Main image

- Experimental details
- Detection of human DHX8 by western blot of immunoprecipitates. Samples: Whole cell lysate (1.0 mg per IP reaction; 20% of IP loaded) from HeLa cells prepared using NETN lysis buffer. Antibodies: Affinity purified rabbit anti-DHX8 antibody A300-624A (lot A300-624A-2) used for IP at 3 µg per reaction. DHX8 was also immunoprecipitated by rabbit anti-DHX8 antibody A300-625A. For blotting immunoprecipitated DHX8, A300-624A was used at 1 µg/ml. Detection: Chemiluminescence with an exposure time of 3 minutes.
- Submitted by
- Invitrogen Antibodies (provider)
- Main image

- Experimental details
- Detection of human DHX8 by western blot. Samples: Whole cell lysate (50 µg) from HeLa, 293T, and Jurkat cells prepared using NETN lysis buffer. Antibody: Affinity purified rabbit anti-DHX8 antibody A300-624A (lot A300-624A-2) used for WB at 0.1 µg/ml. Detection: Chemiluminescence with an exposure time of 30 seconds.
Supportive validation
- Submitted by
- Invitrogen Antibodies (provider)
- Main image

- Experimental details
- Detection of mouse DHX8 by immunohistochemistry. Sample: FFPE section of mouse renal cell carcinoma. Antibody:Affinity purified rabbit anti-DHX8 antibody (A300-624A lot 2) used at 1:1000 (0.2 µg/ml). Secondary: HRP-conjugated goat anti-rabbit IgG (A120-501P).
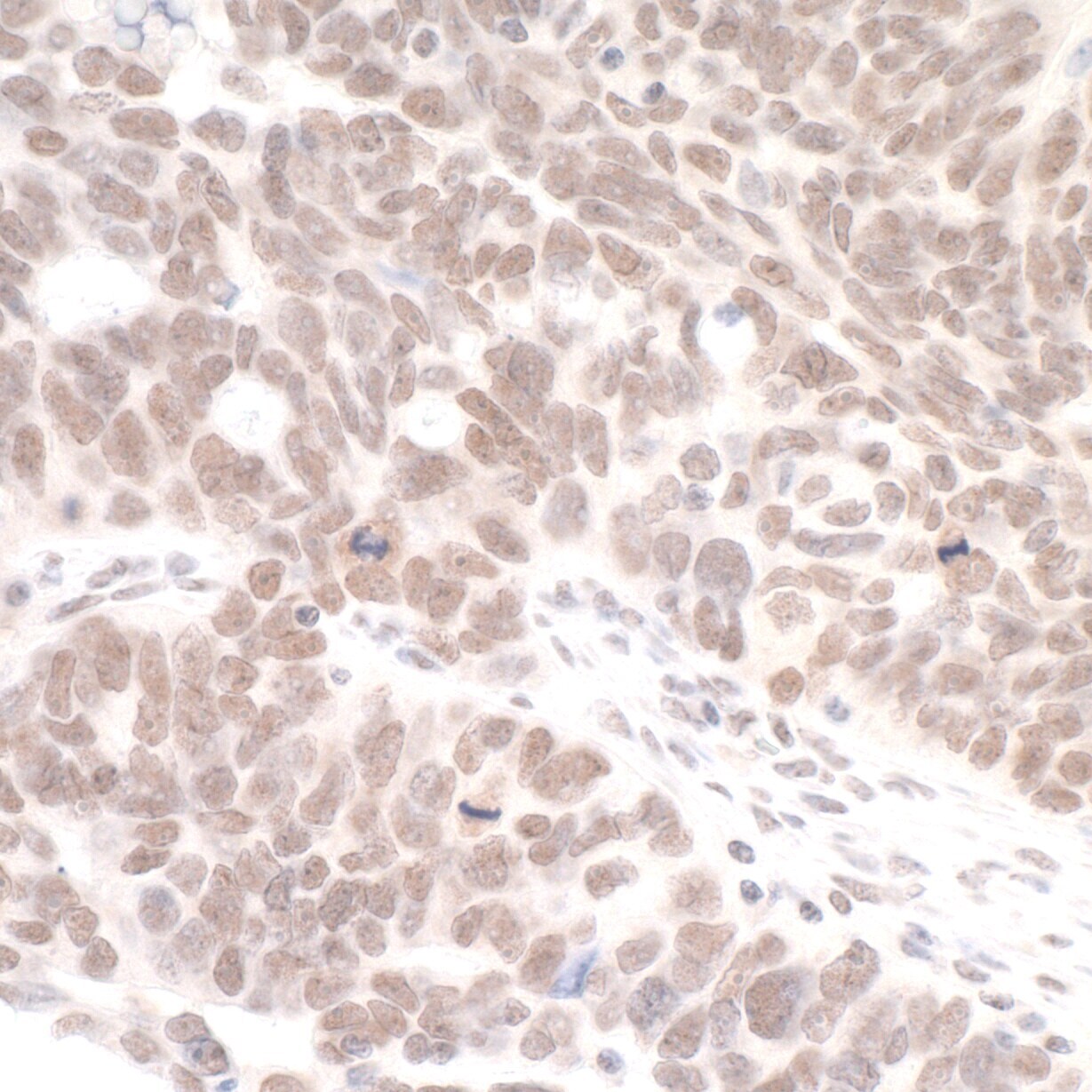
- Submitted by
- Invitrogen Antibodies (provider)
- Main image

- Experimental details
- Detection of human DHX8 by immunohistochemistry. Sample: FFPE section of human ovarian carcinoma. Antibody:Affinity purified rabbit anti-DHX8 antibody (A300-624A lot 2) used at 1:1000 (0.2 µg/ml). Secondary: HRP-conjugated goat anti-rabbit IgG (A120-501P).