Antibody data
- Antibody Data
- Antigen structure
- References [0]
- Comments [0]
- Validations
- Western blot [2]
- Immunohistochemistry [5]
Submit
Validation data
Reference
Comment
Report error
- Product number
- NBP1-88958 - Provider product page

- Provider
- Novus Biologicals
- Proper citation
- Novus Cat#NBP1-88958, RRID:AB_11061068
- Product name
- Rabbit Polyclonal PPP2R5B Antibody
- Antibody type
- Polyclonal
- Description
- Immunogen affinity purified. Specificity of human PPP2R5B antibody verified on a Protein Array containing target protein plus 383 other non-specific proteins.
- Reactivity
- Human, Mouse, Rat
- Host
- Rabbit
- Isotype
- IgG
- Vial size
- 0.1 ml
- Storage
- Store at 4C short term. Aliquot and store at -20C long term. Avoid freeze-thaw cycles.
No comments: Submit comment
Supportive validation
- Submitted by
- Novus Biologicals (provider)
- Main image

- Experimental details
- Western Blot: PPP2R5B Antibody [NBP1-88958] - Lane 1: NIH-3T3 cell lysate (Mouse embryonic fibroblast cells). Lane 2: NBT-II cell lysate (Rat Wistar bladder tumor cells).
- Submitted by
- Novus Biologicals (provider)
- Main image

- Experimental details
- Western Blot: PPP2R5B Antibody [NBP1-88958] - Lane 1: Marker [kDa] 230, 130, 95, 72, 56, 36, 28, 17, 11. Lane 2: Human cell line RT-4.
Supportive validation
- Submitted by
- Novus Biologicals (provider)
- Main image

- Experimental details
- Immunohistochemistry-Paraffin: PPP2R5B Antibody [NBP1-88958] - Staining of human cerebellum shows strong nuclear positivity in Purkinje cells.
- Submitted by
- Novus Biologicals (provider)
- Main image

- Experimental details
- Immunohistochemistry-Paraffin: PPP2R5B Antibody [NBP1-88958] - Staining of human hippocampus shows moderate nuclear positivity in neurons.
- Submitted by
- Novus Biologicals (provider)
- Main image

- Experimental details
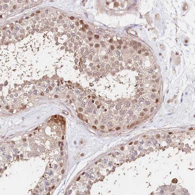
- Immunohistochemistry-Paraffin: PPP2R5B Antibody [NBP1-88958] - Staining of human testis shows weak to moderate nuclear positivity in cells in seminiferous ducts.
- Submitted by
- Novus Biologicals (provider)
- Main image

- Experimental details
- Immunohistochemistry-Paraffin: PPP2R5B Antibody [NBP1-88958] - Staining of human cerebellum shows moderate to strong nuclear positivity in Purkinje cells.
- Submitted by
- Novus Biologicals (provider)
- Main image

- Experimental details
- Immunohistochemistry-Paraffin: PPP2R5B Antibody [NBP1-88958] - Staining of human liver shows no positivity in hepatocytes as expected.