Antibody data
- Antibody Data
- Antigen structure
- References [1]
- Comments [0]
- Validations
- Immunohistochemistry [4]
Submit
Validation data
Reference
Comment
Report error
- Product number
- NBP1-87892 - Provider product page

- Provider
- Novus Biologicals
- Proper citation
- Novus Cat#NBP1-87892, RRID:AB_11020491
- Product name
- Rabbit Polyclonal PGR1 Antibody
- Antibody type
- Polyclonal
- Description
- Immunogen affinity purified. Specificity of human PGR1 antibody verified on a Protein Array containing target protein plus 383 other non-specific proteins.
- Reactivity
- Human, Rat
- Host
- Rabbit
- Isotype
- IgG
- Vial size
- 0.1 ml
- Storage
- Store at 4C short term. Aliquot and store at -20C long term. Avoid freeze-thaw cycles.
Submitted references Ptgr1 expression is regulated by NRF2 in rat hepatocarcinogenesis and promotes cell proliferation and resistance to oxidative stress.
Sánchez-Rodríguez R, Torres-Mena JE, Quintanar-Jurado V, Chagoya-Hazas V, Rojas Del Castillo E, Del Pozo Yauner L, Villa-Treviño S, Pérez-Carreón JI
Free radical biology & medicine 2017 Jan;102:87-99
Free radical biology & medicine 2017 Jan;102:87-99
No comments: Submit comment
Supportive validation
- Submitted by
- Novus Biologicals (provider)
- Main image

- Experimental details
- Immunohistochemistry-Paraffin: PGR1 Antibody [NBP1-87892] - Staining of human duodenum shows strong cytoplasmic positivity in glandular cells.
- Submitted by
- Novus Biologicals (provider)
- Main image

- Experimental details
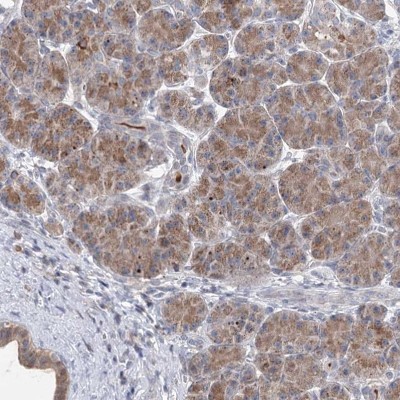
- Immunohistochemistry-Paraffin: PGR1 Antibody [NBP1-87892] - Staining of human pancreas shows low expression as expected.
- Submitted by
- Novus Biologicals (provider)
- Main image

- Experimental details
- Immunohistochemistry-Paraffin: PGR1 Antibody [NBP1-87892] - Staining in human small intestine and pancreas tissues using anti-PTGR1 antibody. Corresponding PTGR1 RNA-seq data are presented for the same tissues.
- Submitted by
- Novus Biologicals (provider)
- Main image

- Experimental details
- Immunohistochemistry-Paraffin: PGR1 Antibody [NBP1-87892] - Staining of human small intestine shows high expression.