Antibody data
- Antibody Data
- Antigen structure
- References [0]
- Comments [0]
- Validations
- Immunohistochemistry [7]
Submit
Validation data
Reference
Comment
Report error
- Product number
- NLS145 - Provider product page

- Provider
- Novus Biologicals
- Proper citation
- Novus Cat#NLS145, RRID:AB_10001305
- Product name
- Rabbit Polyclonal GPR4 Antibody
- Antibody type
- Polyclonal
- Description
- Immunogen affinity purified. Human GPR4. BLAST analysis of the peptide immunogen showed no homology with other human proteins.
- Reactivity
- Human, Canine, Simian
- Host
- Rabbit
- Isotype
- IgG
- Vial size
- 0.05 ml
- Concentration
- 1.0 mg/ml
- Storage
- Store at 4C short term. Aliquot and store at -20C long term. Avoid freeze-thaw cycles.
No comments: Submit comment
Supportive validation
- Submitted by
- Novus Biologicals (provider)
- Main image

- Experimental details
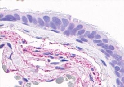
- Immunohistochemistry-Paraffin: GPR4 Antibody [NLS145] - Analysis of anti-GPR4 antibody with human lung, respiratory epithelium.
- Submitted by
- Novus Biologicals (provider)
- Main image

- Experimental details
- Immunohistochemistry-Paraffin: GPR4 Antibody [NLS145] - Analysis of anti-GPR4 antibody with human lung, adenocarcinoma.
- Submitted by
- Novus Biologicals (provider)
- Main image

- Experimental details
- Immunohistochemistry-Paraffin: GPR4 Antibody [NLS145] - Anti-GPR4 antibody IHC of human Pancreas, Carcinoma. Immunohistochemistry of formalin-fixed, paraffin-embedded tissue after heat-induced antigen retrieval.
- Submitted by
- Novus Biologicals (provider)
- Main image

- Experimental details
- Immunohistochemistry-Paraffin: GPR4 Antibody [NLS145] - Anti-GPR4 antibody IHC of human Skin, Melanoma. Immunohistochemistry of formalin-fixed, paraffin-embedded tissue after heat-induced antigen retrieval.
- Submitted by
- Novus Biologicals (provider)
- Main image

- Experimental details
- Immunohistochemistry-Paraffin: GPR4 Antibody [NLS145] - Pancreas, Adenocarcinoma
- Submitted by
- Novus Biologicals (provider)
- Main image

- Experimental details
- Immunohistochemistry-Paraffin: GPR4 Antibody [NLS145] - Kidney, medulla
- Submitted by
- Novus Biologicals (provider)
- Main image

- Experimental details
- Immunohistochemistry-Paraffin: GPR4 Antibody [NLS145] - Brain Cortex Neurons and Glia