Antibody data
- Antibody Data
 - Antigen structure
 - References [0]
 - Comments [0]
 - Validations
 - Western blot [1]
 - Immunocytochemistry [1]
 - Immunohistochemistry [6]
 
Submit
Validation data
Reference
Comment
Report error
- Product number
 - 21933-1-AP - Provider product page

 - Provider
 - Invitrogen Antibodies
 - Product name
 - Sclerostin Polyclonal Antibody
 - Antibody type
 - Polyclonal
 - Antigen
 - Other
 - Reactivity
 - Human
 - Host
 - Rabbit
 - Isotype
 - IgG
 - Vial size
 - 150 µL
 - Concentration
 - 0.38 mg/mL
 - Storage
 - -20°C
 
				No comments: Submit comment	
	
			
							
					Supportive validation
					
									
				
				- Submitted by
 - Invitrogen Antibodies (provider)
 - Main image
 
- Experimental details
 - Transfected HEK-293 cells were subjected to SDS PAGE followed by western blot with 21933-1-AP ( Sclerostin antibody at dilution of 1:1000 incubated at room temperature for 1.5 hours.
 
							
					Supportive validation
					
									
				
				- Submitted by
 - Invitrogen Antibodies (provider)
 - Main image
 
- Experimental details
 - Immunofluorescent analysis of (-20°C Ethanol) fixed HepG2 cells using Sclerostin antibody (Product # 21933-1-AP) at dilution of 1:200 and CoraLite®488-Conjugated AffiniPure Goat Anti-Rabbit IgG(H+L), CL594-Phalloidin (red).
 
							
					Supportive validation
					
									
				
		- Submitted by
 - Invitrogen Antibodies (provider)
 - Main image
 
- Experimental details
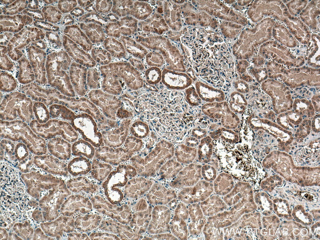
 - Immunohistochemistry of paraffin-embedded human kidney tissue slide using 21933-1-AP (Sclerostin antibody) at dilution of 1:200 (under 10x lens) heat mediated antigen retrieved with Tris-EDTA buffer (pH 9).
 
- Submitted by
 - Invitrogen Antibodies (provider)
 - Main image
 
- Experimental details
 - Immunohistochemistry of paraffin-embedded human kidney tissue slide using 21933-1-AP (Sclerostin antibody) at dilution of 1:200 (under 40x lens) heat mediated antigen retrieved with Tris-EDTA buffer (pH 9).
 
- Submitted by
 - Invitrogen Antibodies (provider)
 - Main image
 
- Experimental details
 - Immunohistochemistry of paraffin-embedded human liver tissue slide using 21933-1-AP (Sclerostin antibody at dilution of 1:50 (under 10x lens).
 
- Submitted by
 - Invitrogen Antibodies (provider)
 - Main image
 
- Experimental details
 - Immunohistochemistry of paraffin-embedded human liver tissue slide using 21933-1-AP (Sclerostin antibody at dilution of 1:50 (under 40x lens).
 
- Submitted by
 - Invitrogen Antibodies (provider)
 - Main image
 
- Experimental details
 - Immunohistochemistry of paraffin-embedded human breast cancer tissue slide using 21933-1-AP (Sclerostin antibody) at dilution of 1:200 (under 10x lens) heat mediated antigen retrieved with Tris-EDTA buffer (pH 9).
 
- Submitted by
 - Invitrogen Antibodies (provider)
 - Main image
 
- Experimental details
 - Immunohistochemistry of paraffin-embedded human breast cancer tissue slide using 21933-1-AP (Sclerostin antibody) at dilution of 1:200 (under 40x lens) heat mediated antigen retrieved with Tris-EDTA buffer (pH 9).