Antibody data
- Antibody Data
 - Antigen structure
 - References [0]
 - Comments [0]
 - Validations
 - Western blot [2]
 - Immunohistochemistry [4]
 
Submit
Validation data
Reference
Comment
Report error
- Product number
 - R30731 - Provider product page

 - Provider
 - NSJ Bioreagents
 - Product name
 - 5HT1A Receptor Antibody
 - Antibody type
 - Polyclonal
 - Description
 - This highly specific 5HT1A Receptor antibody is suitable for use in Western blot/Immunohistochemistry applications with human and rat samples.
 - Reactivity
 - Human, Rat
 - Host
 - Rabbit
 - Conjugate
 - Unconjugated
 - Vial size
 - 100 ug
 - Concentration
 - 0.5mg/ml if reconstituted with 0.2ml sterile DI water
 - Storage
 - After reconstitution, the 5HT1A Receptor antibody can be stored for up to one month at 4oC. For long-term, aliquot and store at -20oC. Avoid repeated freezing and thawing.
 
				No comments: Submit comment	
	
			
							
					Supportive validation
					
									
				
				- Submitted by
 - NSJ Bioreagents (provider)
 - Main image
 
- Experimental details
 - Western blot testing of 5HT1A Receptor antibody and Lane 1: rat brain; 2: human U87 cell lysate
 
- Submitted by
 - NSJ Bioreagents (provider)
 - Main image
 
- Experimental details
 - Western blot testing of 1) human HCCT and 2) rat liver tissue lysate with 5HT1A Receptor antibody. Predicted molecular weight ~46 kDa.
 
							
					Supportive validation
					
									
				
		- Submitted by
 - NSJ Bioreagents (provider)
 - Main image
 
- Experimental details
 - IHC-P: 5HT1A Receptor antibody testing of rat brain tissue
 
- Submitted by
 - NSJ Bioreagents (provider)
 - Main image
 
- Experimental details
 - IHC staining of FFPE human lung cancer tissue with 5HT1A Receptor antibody. HIER: boil tissue sections in pH8 EDTA for 20 min and allow to cool before testing.
 
- Submitted by
 - NSJ Bioreagents (provider)
 - Main image
 
- Experimental details
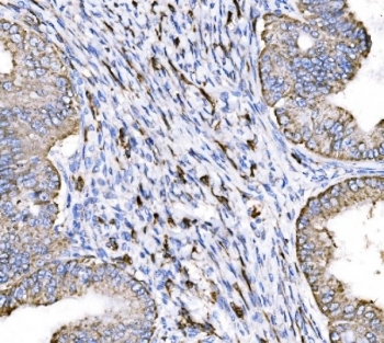
 - IHC staining of FFPE human endometrial adenocarcinoma tissue with 5HT1A Receptor antibody. HIER: boil tissue sections in pH8 EDTA for 20 min and allow to cool before testing.
 
- Submitted by
 - NSJ Bioreagents (provider)
 - Main image
 
- Experimental details
 - IHC staining of FFPE rat lymph tissue with 5HT1A Receptor antibody. HIER: boil tissue sections in pH8 EDTA for 20 min and allow to cool before testing.