Antibody data
- Antibody Data
- Antigen structure
- References [0]
- Comments [0]
- Validations
- Immunocytochemistry [2]
- Immunohistochemistry [4]
Submit
Validation data
Reference
Comment
Report error
- Product number
- PA5-59460 - Provider product page

- Provider
- Invitrogen Antibodies
- Product name
- C16orf48 Polyclonal Antibody
- Antibody type
- Polyclonal
- Antigen
- Recombinant protein fragment
- Description
- Immunogen sequence: EGNALKLDLL TSDRALDTTA PRGPCIGPGA GEILERGQRG VGDVLLQLEG ISLGPGASLK RKDPKDHEKE NL Highest antigen sequence identity to the following orthologs: Mouse - 79%, Rat - 83%.
- Reactivity
- Human
- Host
- Rabbit
- Isotype
- IgG
- Vial size
- 100 μL
- Concentration
- 0.4 mg/mL
- Storage
- Store at 4°C short term. For long term storage, store at -20°C, avoiding freeze/thaw cycles.
No comments: Submit comment
Supportive validation
- Submitted by
- Invitrogen Antibodies (provider)
- Main image

- Experimental details
- Immunofluorescent staining of C16orf48 in human cell line U-2 OS shows positivity in plasma membrane & centrosome. Samples were probed using a C16orf48 Polyclonal Antibody (Product # PA5-59460).
- Submitted by
- Invitrogen Antibodies (provider)
- Main image

- Experimental details
- Immunofluorecent analysis of C16orf48 in human cell line U-2 OS using C16orf48 Polyclonal Antibody (Product # PA5-59460). Staining shows localization to plasma membrane and centrosome.
Supportive validation
- Submitted by
- Invitrogen Antibodies (provider)
- Main image

- Experimental details
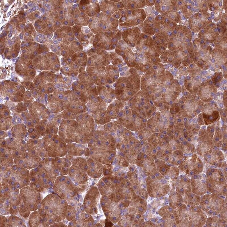
- Immunohistochemical analysis of C16orf48 in human pancreas using C16orf48 Polyclonal Antibody (Product # PA5-59460) shows strong cytoplasmic positivity in exocrine glandular cells.
- Submitted by
- Invitrogen Antibodies (provider)
- Main image

- Experimental details
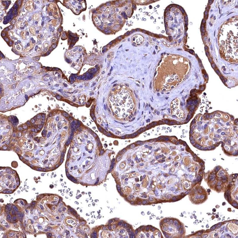
- Immunohistochemical analysis of C16orf48 in human placenta using C16orf48 Polyclonal Antibody (Product # PA5-59460) shows strong cytoplasmic positivity in trophoblastic cells.
- Submitted by
- Invitrogen Antibodies (provider)
- Main image

- Experimental details
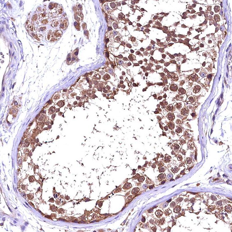
- Immunohistochemical analysis of C16orf48 in human testis using C16orf48 Polyclonal Antibody (Product # PA5-59460) shows strong cytoplasmic positivity in cells in seminiferous ducts.
- Submitted by
- Invitrogen Antibodies (provider)
- Main image

- Experimental details
- Immunohistochemical analysis of C16orf48 in human tonsil using C16orf48 Polyclonal Antibody (Product # PA5-59460) shows strong cytoplasmic positivity in non-germinal center cells.