Antibody data
- Antibody Data
- Antigen structure
- References [0]
- Comments [0]
- Validations
- Immunocytochemistry [2]
- Immunohistochemistry [4]
Submit
Validation data
Reference
Comment
Report error
- Product number
- PA5-59586 - Provider product page

- Provider
- Invitrogen Antibodies
- Product name
- C16orf48 Polyclonal Antibody
- Antibody type
- Polyclonal
- Antigen
- Recombinant protein fragment
- Description
- Immunogen sequence: QVLAQVLEQQ RQAQEHYNAT QKGHVPHYLL ERRDLWRREA EARKQSQPDP AMPPGHTRMP ENQRLETLTK L Highest antigen sequence identity to the following orthologs: Mouse - 87%, Rat - 92%.
- Reactivity
- Human
- Host
- Rabbit
- Isotype
- IgG
- Vial size
- 100 μL
- Concentration
- 1.4 mg/mL
- Storage
- Store at 4°C short term. For long term storage, store at -20°C, avoiding freeze/thaw cycles.
No comments: Submit comment
Supportive validation
- Submitted by
- Invitrogen Antibodies (provider)
- Main image

- Experimental details
- Immunofluorescent staining of C16orf48 in human cell line A-431 shows positivity in plasma membrane & cytoplasm. Samples were probed using a C16orf48 Polyclonal Antibody (Product # PA5-59586).
- Submitted by
- Invitrogen Antibodies (provider)
- Main image

- Experimental details
- Immunofluorecent analysis of C16orf48 in human cell line A-431 using C16orf48 Polyclonal Antibody (Product # PA5-59586). Staining shows localization to plasma membrane and cytosol.
Supportive validation
- Submitted by
- Invitrogen Antibodies (provider)
- Main image

- Experimental details
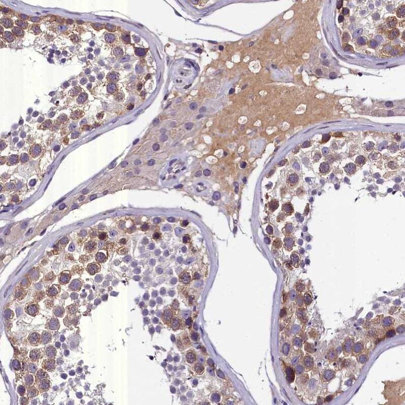
- Immunohistochemical analysis of C16orf48 in human testis using C16orf48 Polyclonal Antibody (Product # PA5-59586) shows moderate cytoplasmic positivity in cells in seminiferous ducts and leydig cells.
- Submitted by
- Invitrogen Antibodies (provider)
- Main image

- Experimental details
- Immunohistochemical analysis of C16orf48 in human skeletal muscle using C16orf48 Polyclonal Antibody (Product # PA5-59586) shows very weak cytoplasmic positivity in myocytes.
- Submitted by
- Invitrogen Antibodies (provider)
- Main image

- Experimental details
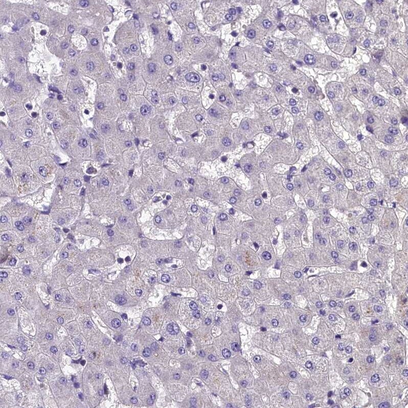
- Immunohistochemical analysis of C16orf48 in human liver using C16orf48 Polyclonal Antibody (Product # PA5-59586) shows no cytoplasmic positivity in hepatocytes as expected.
- Submitted by
- Invitrogen Antibodies (provider)
- Main image

- Experimental details
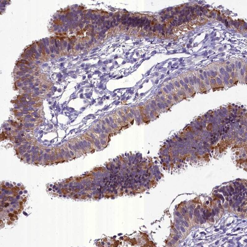
- Immunohistochemical analysis of C16orf48 in human fallopian tube using C16orf48 Polyclonal Antibody (Product # PA5-59586) shows moderate cytoplasmic positivity in glandular cells.