Antibody data
- Antibody Data
- Antigen structure
- References [0]
- Comments [0]
- Validations
- Western blot [1]
- Immunocytochemistry [2]
- Immunohistochemistry [3]
Submit
Validation data
Reference
Comment
Report error
- Product number
- LS-C185612 - Provider product page

- Provider
- LSBio
- Product name
- AKR7A2 / AFAR Antibody (aa84-359) LS-C185612
- Antibody type
- Polyclonal
- Description
- Immunoaffinity purified
- Reactivity
- Human
- Host
- Rabbit
- Isotype
- IgG
- Storage
- Keep as concentrated solution. Aliquot and store at -20°C or below. Avoid multiple freeze-thaw cycles.
No comments: Submit comment
Enhanced validation
- Submitted by
- LSBio (provider)
- Enhanced method
- Genetic validation
- Main image

- Experimental details
- Sample (30 ug of whole cell lysate). A: A431 . 10% SDS PAGE. AKR7A2 / AFAR antibody diluted at 1:1000.
Supportive validation
- Submitted by
- LSBio (provider)
- Enhanced method
- Genetic validation
- Main image

- Experimental details
- Immunofluorescence of paraformaldehyde-fixed HeLa using AKR7 antibody at 1:200 dilution.
- Submitted by
- LSBio (provider)
- Main image

- Experimental details
- Immunofluorescence of paraformaldehyde-fixed HeLa using AKR7 antibody at 1:200 dilution.
Supportive validation
- Submitted by
- LSBio (provider)
- Enhanced method
- Genetic validation
- Main image

- Experimental details
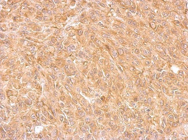
- AKR7A2 antibody detects AKR7A2 protein at cytosol on SkHep1 xenograft by immunohistochemical analysis. Sample: Paraffin-embedded SkHep2 xenograft. AKR7A2 antibody dilution:1:500.
- Submitted by
- LSBio (provider)
- Enhanced method
- Genetic validation
- Main image

- Experimental details
- AKR7A2 antibody detects AKR7A2 protein at cytosol on SkHep1 xenograft by immunohistochemical analysis. Sample: Paraffin-embedded SkHep2 xenograft. AKR7A2 antibody dilution:1:500.
- Submitted by
- LSBio (provider)
- Enhanced method
- Genetic validation
- Main image

- Experimental details
- AKR7A2 antibody detects AKR7A2 protein at cytosol on SkHep1 xenograft by immunohistochemical analysis. Sample: Paraffin-embedded SkHep2 xenograft. AKR7A2 antibody dilution:1:500.