Antibody data
- Antibody Data
- Antigen structure
- References [0]
- Comments [0]
- Validations
- Immunohistochemistry [2]
Submit
Validation data
Reference
Comment
Report error
- Product number
- AP22170SU-S - Provider product page

- Provider
- Acris Antibodies GmbH
- Proper citation
- Acris Antibodies GmbH Cat#AP22170SU-S, RRID:AB_10757384
- Product name
- anti KRR1 / HRB2 (269-287)
- Antibody type
- Polyclonal
- Antigen
- Synthetic peptide corresponding to amino acids 269-287 of human RIP
- Reactivity
- Human
- Host
- Rabbit
- Vial size
- 50 µl
No comments: Submit comment
Supportive validation
- Submitted by
- Acris Antibodies GmbH (provider)
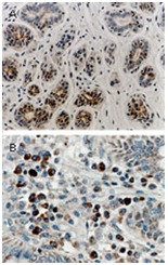
- Main image

- Experimental details
- Immunohistochemical analysis of RIP in formalin-fixed, paraffin-embedded tissue sections using AP22170SU-S at 1:2000. A, normal human breast. B, normal human colon. Plasma cells in the lamina propia of the colon are stained. Hematoxylin-eosin counterstain.
- Submitted by
- Acris Antibodies GmbH (provider)
- Main image

- Experimental details
- Immunohistochemical analysis of RIP in formalin-fixed, paraffin-embedded tonsil using AP22170SU-S at 1:2000. A, low magnification overview of a secondary follicle. A1 and A2, sucessively higher magnifications of the germinal center from A. Hematoxylin-eosin counterstain.