Antibody data
- Antibody Data
- Antigen structure
- References [0]
- Comments [0]
- Validations
- Western blot [1]
- Immunohistochemistry [2]
Submit
Validation data
Reference
Comment
Report error
- Product number
- LS-C169234 - Provider product page

- Provider
- LSBio
- Product name
- CTG-B45d / THAP11 Antibody (clone 3F3) LS-C169234
- Antibody type
- Monoclonal
- Description
- Ascites
- Reactivity
- Human
- Host
- Mouse
- Isotype
- IgG
- Antibody clone number
- 3F3
- Storage
- Short term: store at 4°C. Long term: store at -20°C.
No comments: Submit comment
Enhanced validation
- Submitted by
- LSBio (provider)
- Enhanced method
- Genetic validation
- Main image

- Experimental details
- Western blot using THAP11 mouse monoclonal antibody against HeLa (1) and NTERA-2 (2) cell lysate.
Enhanced validation
- Submitted by
- LSBio (provider)
- Enhanced method
- Genetic validation
- Main image

- Experimental details
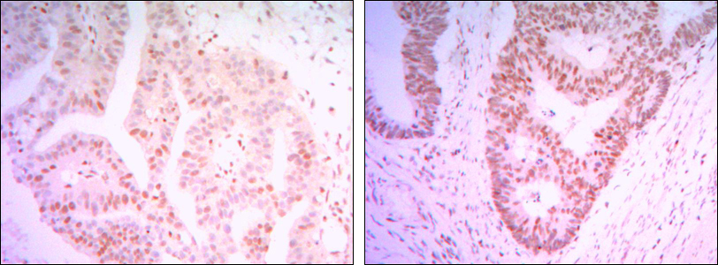
- IHC of paraffin-embedded colon cancer tissues (left) and ovary cancer tissues (right) using THAP11 mouse monoclonal antibody with DAB staining.
- Submitted by
- LSBio (provider)
- Main image

- Experimental details
- IHC of paraffin-embedded colon cancer tissues (left) and ovary cancer tissues (right) using THAP11 mouse monoclonal antibody with DAB staining.