Antibody data
- Antibody Data
- Antigen structure
- References [0]
- Comments [0]
- Validations
- Western blot [1]
- Immunohistochemistry [3]
Submit
Validation data
Reference
Comment
Report error
- Product number
- GTX119804 - Provider product page

- Provider
- GeneTex
- Proper citation
- GeneTex Cat#GTX119804, RRID:AB_10731844
- Product name
- THAP11 antibody [N1C3]
- Antibody type
- Polyclonal
- Reactivity
- Human, Mouse, Rat
- Host
- Rabbit
No comments: Submit comment
Supportive validation
- Submitted by
- GeneTex (provider)
- Main image

- Experimental details
- Sample (30 ug of whole cell lysate) A: NT2D1 10% SDS PAGE GTX119804 diluted at 1:3000
Supportive validation
- Submitted by
- GeneTex (provider)
- Main image

- Experimental details
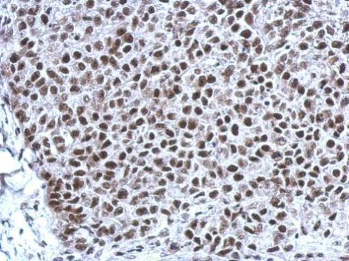
- Immunohistochemical analysis of paraffin-embedded Hela xenograft, using THAP11(GTX119804) antibody at 1:500 dilution.
- Submitted by
- GeneTex (provider)
- Main image

- Experimental details
- Immunohistochemical analysis of paraffin-embedded C2C12 xenograft, using THAP11(GTX119804) antibody at 1:500 dilution.
- Submitted by
- GeneTex (provider)
- Main image

- Experimental details
- Immunohistochemical analysis of paraffin-embedded RT2 xenograft, using THAP11(GTX119804) antibody at 1:500 dilution.