Antibody data
- Antibody Data
- Antigen structure
- References [0]
- Comments [0]
- Validations
- Western blot [1]
- Immunohistochemistry [6]
Submit
Validation data
Reference
Comment
Report error
- Product number
- PA5-56280 - Provider product page

- Provider
- Invitrogen Antibodies
- Product name
- NKAIN4 Polyclonal Antibody
- Antibody type
- Polyclonal
- Antigen
- Recombinant protein fragment
- Description
- Immunogen sequence: LKDSELLTFS LSRHRSWWRE RWPGCLHEEV PAVGLGAPHG QALVSGAGCA LEPSYVEALH SCLQILIALL GFVCGCQVVS VFTEEEDSFD FIGGFDPFPL YHVNEKPSSL LSKQVY Highest antigen sequence identity to the following orthologs: Mouse - 81%, Rat - 77%.
- Reactivity
- Human
- Host
- Rabbit
- Isotype
- IgG
- Vial size
- 100 μL
- Concentration
- 0.20 mg/mL
- Storage
- Store at 4°C short term. For long term storage, store at -20°C, avoiding freeze/thaw cycles.
No comments: Submit comment
Supportive validation
- Submitted by
- Invitrogen Antibodies (provider)
- Main image

- Experimental details
- Western blot analysis of NKAIN4 in control (vector only transfected HEK293T lysate) and NKAIN4 over-expression lysate (Co-expressed with a C-terminal myc-DDK tag (~3.1 kDa) in mammalian HEK293T cells). Samples were probed using a NKAIN4 Polyclonal Antibody (Product # PA5-56280).
Supportive validation
- Submitted by
- Invitrogen Antibodies (provider)
- Main image

- Experimental details
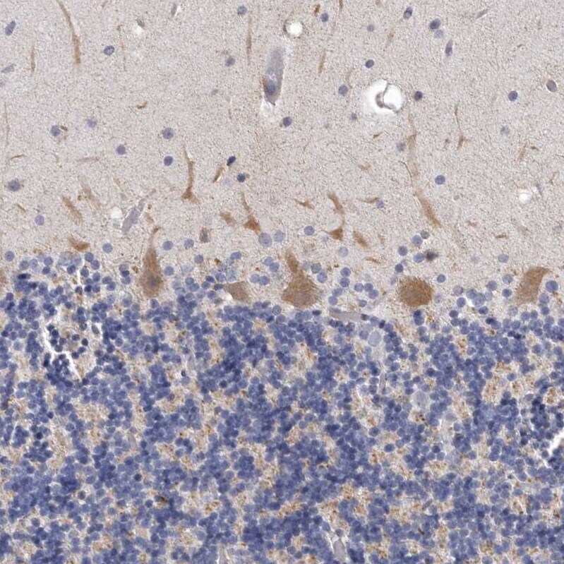
- Immunohistochemical analysis of NKAIN4 in human cerebellum using NKAIN4 Polyclonal Antibody (Product # PA5-56280) shows moderate cytoplasmic positivity in Purkinje cells.
- Submitted by
- Invitrogen Antibodies (provider)
- Main image

- Experimental details
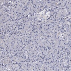
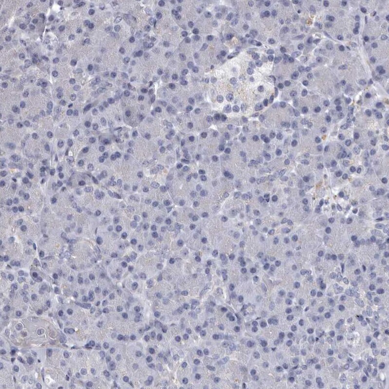
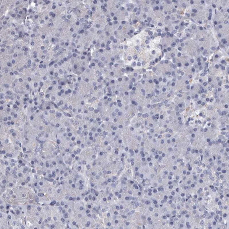
- Immunohistochemical analysis of NKAIN4 in human pancreas using NKAIN4 Polyclonal Antibody (Product # PA5-56280) shows no positivity in exocrine glandular cells as expected.
- Submitted by
- Invitrogen Antibodies (provider)
- Main image

- Experimental details
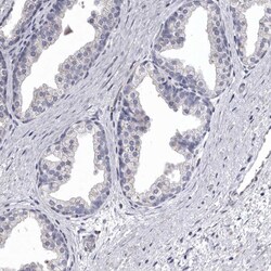
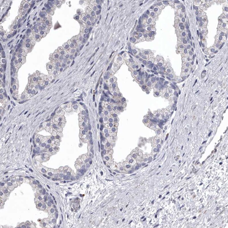
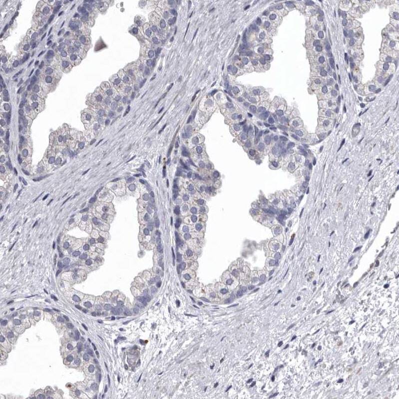
- Immunohistochemical analysis of NKAIN4 in human prostate using NKAIN4 Polyclonal Antibody (Product # PA5-56280) shows no positivity in glandular cells as expected.
- Submitted by
- Invitrogen Antibodies (provider)
- Main image

- Experimental details
- Immunohistochemical analysis of NKAIN4 in human cerebellum using NKAIN4 Polyclonal Antibody (Product # PA5-56280) shows moderate cytoplasmic positivity in Purkinje cells.
- Submitted by
- Invitrogen Antibodies (provider)
- Main image

- Experimental details
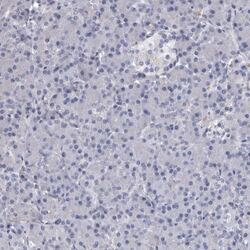
- Immunohistochemical analysis of NKAIN4 in human pancreas using NKAIN4 Polyclonal Antibody (Product # PA5-56280) shows no positivity in exocrine glandular cells as expected.
- Submitted by
- Invitrogen Antibodies (provider)
- Main image

- Experimental details
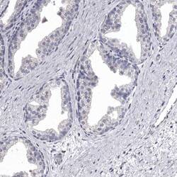
- Immunohistochemical analysis of NKAIN4 in human prostate using NKAIN4 Polyclonal Antibody (Product # PA5-56280) shows no positivity in glandular cells as expected.