Antibody data
- Antibody Data
- Antigen structure
- References [0]
- Comments [0]
- Validations
- Western blot [1]
- Immunocytochemistry [1]
- Immunohistochemistry [1]
Submit
Validation data
Reference
Comment
Report error
- Product number
- PA5-27917 - Provider product page

- Provider
- Invitrogen Antibodies
- Product name
- PSKH1 Polyclonal Antibody
- Antibody type
- Polyclonal
- Antigen
- Recombinant full-length protein
- Description
- Recommended positive controls: HeLaS3, HepG2. Predicted reactivity: Mouse (96%), Chicken (80%), Rhesus Monkey (99%), Bovine (95%). Store product as a concentrated solution. Centrifuge briefly prior to opening the vial.
- Reactivity
- Human
- Host
- Rabbit
- Isotype
- IgG
- Vial size
- 100 μL
- Concentration
- 1 mg/mL
- Storage
- Store at 4°C short term. For long term storage, store at -20°C, avoiding freeze/thaw cycles.
No comments: Submit comment
Supportive validation
- Submitted by
- Invitrogen Antibodies (provider)
- Main image

- Experimental details
- Western Blot using PSKH1 Polyclonal Antibody (Product # PA5-27917). Sample (30 µg whole cell lysate). A: HeLa S3. B: Hep G2. 10% SDS PAGE. PSKH1 Polyclonal Antibody (Product # PA5-27917) diluted at 1:1,000.
Supportive validation
- Submitted by
- Invitrogen Antibodies (provider)
- Main image

- Experimental details
- Immunofluorescent analysis of PSKH1 in paraformaldehyde-fixed A431 cells using a PSKH1 polyclonal antibody (Product # PA5-27917) (Green) at a 1:500 dilution. Alpha-tubulin filaments were labeled with Product # PA5-29281 (Red) at a 1:500.
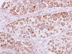
Supportive validation
- Submitted by
- Invitrogen Antibodies (provider)
- Main image

- Experimental details
- PSKH1 Polyclonal Antibody detects PSKH1 protein at cytooplasm and membrane on human liver carcinoma by immunohistochemical analysis. Sample: Paraffin-embedded liver carcinoma. PSKH1 Polyclonal Antibody (Product # PA5-27917) dilution: 1:500. Antigen Retrieval: EDTA based buffer, pH 8.0, 15 min.