PA5-58242
antibody from Invitrogen Antibodies
Targeting: WDR44
DKFZp686L20145, RAB11BP, RPH11, SYM-4
Antibody data
- Antibody Data
- Antigen structure
- References [0]
- Comments [0]
- Validations
- Immunohistochemistry [4]
Submit
Validation data
Reference
Comment
Report error
- Product number
- PA5-58242 - Provider product page

- Provider
- Invitrogen Antibodies
- Product name
- WDR44 Polyclonal Antibody
- Antibody type
- Polyclonal
- Antigen
- Recombinant protein fragment
- Description
- Immunogen sequence: MRMKYNTEGR VSPSPSQESL SSSKSDTDTG VCSGTDEDPD DKNAPFRQRP FCKYKGHTAD LLDLSWSKNY FLLSSSMDKT VR Highest antigen sequence identity to the following orthologs: Mouse - 99%, Rat - 99%.
- Reactivity
- Human
- Host
- Rabbit
- Isotype
- IgG
- Vial size
- 100 μL
- Concentration
- 0.2 mg/mL
- Storage
- Store at 4°C short term. For long term storage, store at -20°C, avoiding freeze/thaw cycles.
No comments: Submit comment
Supportive validation
- Submitted by
- Invitrogen Antibodies (provider)
- Main image

- Experimental details
- Immunohistochemical analysis of WDR44 in human fallopian tube using WDR44 Polyclonal Antibody (Product # PA5-58242) shows strong granular cytoplasmic positivity in glandular cells.
- Submitted by
- Invitrogen Antibodies (provider)
- Main image

- Experimental details
- Immunohistochemical analysis of WDR44 in human skeletal muscle using WDR44 Polyclonal Antibody (Product # PA5-58242) shows no positivity in myocytes as expected.
- Submitted by
- Invitrogen Antibodies (provider)
- Main image

- Experimental details
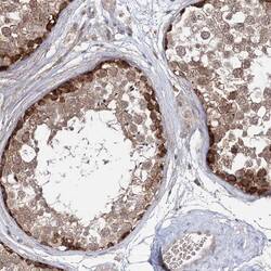
- Immunohistochemical analysis of WDR44 in human testis using WDR44 Polyclonal Antibody (Product # PA5-58242) shows strong cytoplasmic positivity in subset of cells in seminiferous ducts.
- Submitted by
- Invitrogen Antibodies (provider)
- Main image

- Experimental details
- Immunohistochemical analysis of WDR44 in human cerebral cortex using WDR44 Polyclonal Antibody (Product # PA5-58242) shows moderate granular cytoplasmic positivity in neurons.