Antibody data
- Antibody Data
- Antigen structure
- References [0]
- Comments [0]
- Validations
- Western blot [2]
- Immunohistochemistry [10]
Submit
Validation data
Reference
Comment
Report error
- Product number
- NBP1-92088 - Provider product page

- Provider
- Novus Biologicals
- Proper citation
- Novus Cat#NBP1-92088, RRID:AB_11015440
- Product name
- Rabbit Polyclonal LYPLA3 Antibody
- Antibody type
- Polyclonal
- Description
- Immunogen affinity purified. Specificity of human LYPLA3 antibody verified on a Protein Array containing target protein plus 383 other non-specific proteins.
- Reactivity
- Human
- Host
- Rabbit
- Isotype
- IgG
- Vial size
- 0.1 ml
- Storage
- Store at 4C short term. Aliquot and store at -20C long term. Avoid freeze-thaw cycles.
No comments: Submit comment
Supportive validation
- Submitted by
- Novus Biologicals (provider)
- Main image

- Experimental details
- Western Blot: LYPLA3 Antibody [NBP1-92088] - Lane 1: Marker [kDa] 250, 130, 95, 72, 55, 36, 28, 17, 10. Lane 2: Human cell line RT-4. Lane 3: Human cell line U-251MG sp. Lane 4: Human plasma (IgG/HSA depleted). Lane 5: Human liver tissue. Lane 6: Human tonsil tissue
- Submitted by
- Novus Biologicals (provider)
- Main image

- Experimental details
- Western Blot: LYPLA3 Antibody [NBP1-92088] - Lane 1: NIH-3T3 cell lysate (Mouse embryonic fibroblast cells). Lane 2: NBT-II cell lysate (Rat Wistar bladder tumor cells).
Supportive validation
- Submitted by
- Novus Biologicals (provider)
- Main image

- Experimental details
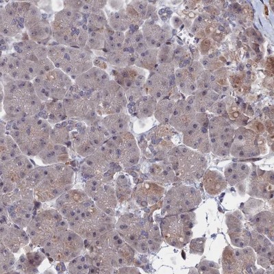
- Immunohistochemistry-Paraffin: LYPLA3 Antibody [NBP1-92088] - Staining of human pancreas shows low expression as expected.
- Submitted by
- Novus Biologicals (provider)
- Main image

- Experimental details
- Immunohistochemistry-Paraffin: LYPLA3 Antibody [NBP1-92088] - Staining of human placenta shows high expression.
- Submitted by
- Novus Biologicals (provider)
- Main image

- Experimental details
- Immunohistochemistry-Paraffin: LYPLA3 Antibody [NBP1-92088] - Staining in human placenta and pancreas tissues using anti-PLA2G15 antibody. Corresponding PLA2G15 RNA-seq data are presented for the same tissues.
- Submitted by
- Novus Biologicals (provider)
- Main image

- Experimental details
- Immunohistochemistry-Paraffin: LYPLA3 Antibody [NBP1-92088] - Staining of human lymph node.
- Submitted by
- Novus Biologicals (provider)
- Main image

- Experimental details
- Immunohistochemistry-Paraffin: LYPLA3 Antibody [NBP1-92088] - Staining of human colon.
- Submitted by
- Novus Biologicals (provider)
- Main image

- Experimental details
- Immunohistochemistry-Paraffin: LYPLA3 Antibody [NBP1-92088] - Staining of human colon strong granular cytoplasmic positivity in glandular cells.
- Submitted by
- Novus Biologicals (provider)
- Main image

- Experimental details
- Immunohistochemistry-Paraffin: LYPLA3 Antibody [NBP1-92088] - Staining of human colon strong granular cytoplasmic positivity in glandular cells.
- Submitted by
- Novus Biologicals (provider)
- Main image

- Experimental details
- Immunohistochemistry-Paraffin: LYPLA3 Antibody [NBP1-92088] - Staining of human colon, kidney, lymph node and placenta using Anti-PLA2G15 antibody NBP1-92088 (A) shows similar protein distribution across tissues to independent antibody NBP1-92089 (B).
- Submitted by
- Novus Biologicals (provider)
- Main image

- Experimental details
- Immunohistochemistry-Paraffin: LYPLA3 Antibody [NBP1-92088] - Staining of human kidney shows strong granular cytoplasmic positivity in cells in tubules.
- Submitted by
- Novus Biologicals (provider)
- Main image

- Experimental details
- Immunohistochemistry-Paraffin: LYPLA3 Antibody [NBP1-92088] - Staining of human placenta shows moderate granular cytoplasmic positivity in trophoblastic cells.