Antibody data
- Antibody Data
- Antigen structure
- References [0]
- Comments [0]
- Validations
- Western blot [1]
- Immunohistochemistry [1]
Submit
Validation data
Reference
Comment
Report error
- Product number
- OAAB01062 - Provider product page

- Provider
- Aviva Systems Biology
- Product name
- TIGD3 antibody - C-terminal region
- Antibody type
- Polyclonal
- Reactivity
- Human
- Host
- Rabbit
- Vial size
- 400ul
- Storage
- Maintain refrigerated at 2-8 deg C for up to 6 months. For long term storage store at -20 deg C in small aliquots to prevent freeze-thaw cycles.
No comments: Submit comment
Supportive validation
- Submitted by
- Aviva Systems Biology (provider)
- Main image

- Experimental details
- TIGD3 Antibody (C-term) western blot analysis in HepG2 cell lysates (35ug/lane).This demonstrates the TIGD3 antibody detected the TIGD3 protein (arrow).
- Sample type
- HepG2 cell line lysates
- Primary Ab dilution
- 1.0 µg/mL
- Protocol
- Protocol
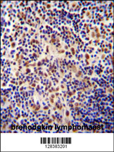
Supportive validation
- Submitted by
- Aviva Systems Biology (provider)
- Main image

- Experimental details
- TIGD3 antibody (C-term) immunohistochemistry analysis in formalin fixed and paraffin embedded human hodgkin lymphoma followed by peroxidase conjugation of the secondary antibody and DAB staining. This data demonstrates the use of the TIGD3 antibody (C-term) for immunohistochemistry. Clinical relevance has not been evaluated.
- Sample type
- human hodgkin lymphoma
- Primary Ab dilution
- 1.0 µg/mL
- Protocol
- Protocol