Antibody data
- Antibody Data
- Antigen structure
- References [0]
- Comments [0]
- Validations
- Immunohistochemistry [3]
Submit
Validation data
Reference
Comment
Report error
- Product number
- PA5-66723 - Provider product page

- Provider
- Invitrogen Antibodies
- Product name
- VWA5B1 Polyclonal Antibody
- Antibody type
- Polyclonal
- Antigen
- Recombinant protein fragment
- Description
- Immunogen sequence: CNIISKYTAFV PVDVSKSRYL PTVVEYPNSG AALRMLGSRA LAQQWRGTSS GFGRPQTMLG EDSAPGN Highest antigen sequence identity to the following orthologs - mouse 62%, rat 57%.
- Reactivity
- Human
- Host
- Rabbit
- Isotype
- IgG
- Vial size
- 100 μL
- Concentration
- 0.2 mg/mL
- Storage
- Store at 4°C short term. For long term storage, store at -20°C, avoiding freeze/thaw cycles.
No comments: Submit comment
Supportive validation
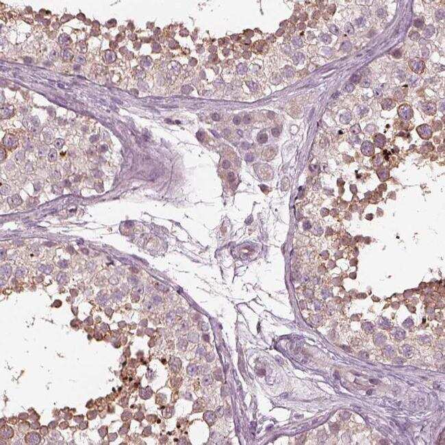
- Submitted by
- Invitrogen Antibodies (provider)
- Main image

- Experimental details
- Immunohistochemical staining of VWA5B1 in human testis shows moderate cytoplasmic positivity in cells in seminiferous ducts. Samples were probed using a VWA5B1 Polyclonal Antibody (Product # PA5-66723).
- Submitted by
- Invitrogen Antibodies (provider)
- Main image

- Experimental details
- Immunohistochemical staining of VWA5B1 in human endometrium using VWA5B1 Polyclonal Antibody (Product # PA5-66723) shows low expression as expected.
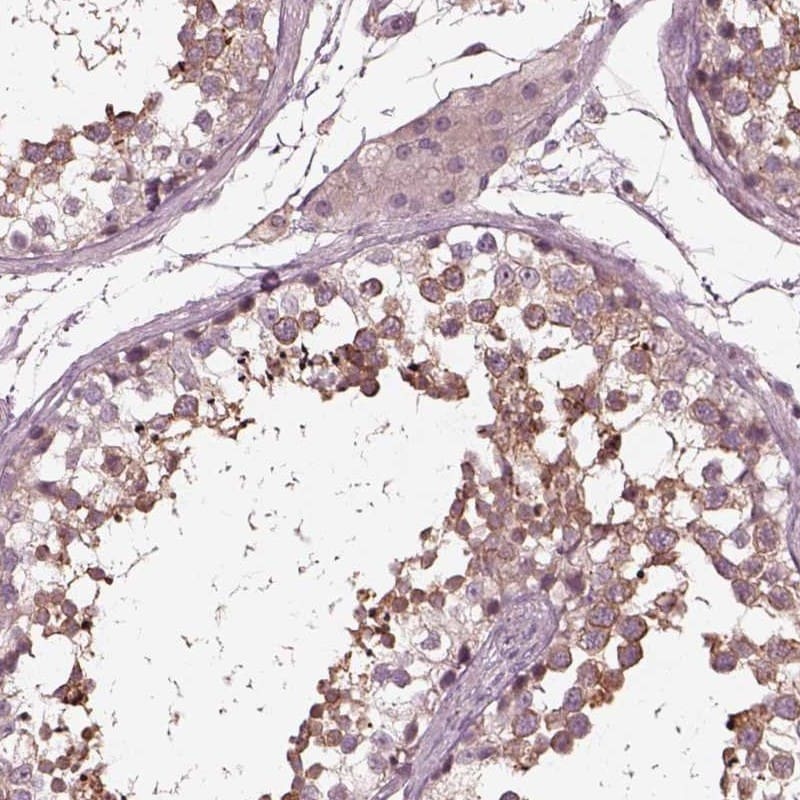
- Submitted by
- Invitrogen Antibodies (provider)
- Main image

- Experimental details
- Immunohistochemical staining of VWA5B1 in human testis using VWA5B1 Polyclonal Antibody (Product # PA5-66723) shows high expression.