Antibody data
- Antibody Data
- Antigen structure
- References [2]
- Comments [0]
- Validations
- Western blot [2]
- Immunohistochemistry [3]
Submit
Validation data
Reference
Comment
Report error
- Product number
- NB100-553 - Provider product page

- Provider
- Novus Biologicals
- Proper citation
- Novus Cat#NB100-553, RRID:AB_10000861
- Product name
- Rabbit Polyclonal HR6A/UBE2A Antibody
- Antibody type
- Polyclonal
- Description
- Immunogen affinity purified.
- Reactivity
- Human, Mouse
- Host
- Rabbit
- Isotype
- IgG
- Vial size
- 100 ul
- Concentration
- 1.0 mg/ml
- Storage
- Store at 4C. Do not freeze.
Submitted references The plant homeodomain fingers of fission yeast Msc1 exhibit E3 ubiquitin ligase activity.
Impaired cytoprotective mechanisms in eyes with pseudoexfoliation syndrome/glaucoma.
Dul BE, Walworth NC
The Journal of biological chemistry 2007 Jun 22;282(25):18397-406
The Journal of biological chemistry 2007 Jun 22;282(25):18397-406
Impaired cytoprotective mechanisms in eyes with pseudoexfoliation syndrome/glaucoma.
Zenkel M, Kruse FE, Naumann GO, Schlötzer-Schrehardt U
Investigative ophthalmology & visual science 2007 Dec;48(12):5558-66
Investigative ophthalmology & visual science 2007 Dec;48(12):5558-66
No comments: Submit comment
Supportive validation
- Submitted by
- Novus Biologicals (provider)
- Main image

- Experimental details
- Western Blot: HR6A/UBE2A Antibody [NB100-553] - Detection of Human Rad6 by Western Blot. Samples: Whole cell lysate (50 ug) from HeLa and 293T cells prepared using NETN lysis buffer. Antibody: Affinity purified rabbit anti-Rad6 antibody NB100-553 used for WB at 0.04 ug/ml. Detection: Chemiluminescence with an exposure time of 30 seconds.
- Submitted by
- Novus Biologicals (provider)
- Main image

- Experimental details
- Western Blot: HR6A/UBE2A Antibody [NB100-553] - Whole cell lysate (50 ug) from 293T cells. Antibody used at the indicated concentrations.
Supportive validation
- Submitted by
- Novus Biologicals (provider)
- Main image

- Experimental details
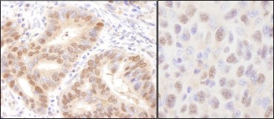
- Immunohistochemistry-Paraffin: HR6A/UBE2A Antibody [NB100-553] - Section of human stomach carcinoma (left) and mouse squamous cell carcinoma (right). Antibody: Affinity purified rabbit anti- Rad6 used at a dilution of 1:1,000 (1ug/ml). Detection: DAB
- Submitted by
- Novus Biologicals (provider)
- Main image

- Experimental details
- Immunohistochemistry-Paraffin: HR6A/UBE2A Antibody [NB100-553] - FFPE section of mouse squamous cell carcinoma. Affinity purified rabbit anti-Rad6 used at a dilution of 1:250.
- Submitted by
- Novus Biologicals (provider)
- Main image

- Experimental details
- Immunohistochemistry-Paraffin: HR6A/UBE2A Antibody [NB100-553] - FFPE section of human stomach adenocarcinoma. Affinity purified rabbit anti-Rad6 used at a dilution of 1:250.