Antibody data
- Antibody Data
- Antigen structure
- References [0]
- Comments [0]
- Validations
- Immunocytochemistry [1]
Submit
Validation data
Reference
Comment
Report error
- Product number
- HPA077225 - Provider product page

- Provider
- Atlas Antibodies
- Proper citation
- Atlas Antibodies Cat#HPA077225, RRID:AB_2686828
- Product name
- Anti-PLEKHH2
- Antibody type
- Polyclonal
- Description
- Polyclonal Antibody against Human PLEKHH2, Gene description: pleckstrin homology domain containing, family H (with MyTH4 domain) member 2, Alternative Gene Names: KIAA2028, PLEKHH1L, Validated applications: ICC, Uniprot ID: Q8IVE3, Storage: Store at +4°C for short term storage. Long time storage is recommended at -20°C.
- Reactivity
- Human
- Host
- Rabbit
- Conjugate
- Unconjugated
- Isotype
- IgG
- Vial size
- 100 µl
- Concentration
- 0.1 mg/ml
- Storage
- Store at +4°C for short term storage. Long time storage is recommended at -20°C.
- Handling
- The antibody solution should be gently mixed before use.
No comments: Submit comment
Supportive validation
- Submitted by
- Atlas Antibodies (provider)
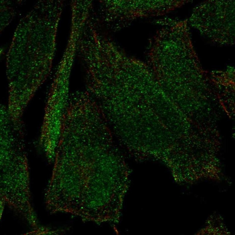
- Main image

- Experimental details
- Immunofluorescent staining of human cell line RH-30 shows localization to nucleoplasm & cytosol.
- Sample type
- Human