Antibody data
- Antibody Data
- Antigen structure
- References [0]
- Comments [0]
- Validations
- Western blot [3]
- Immunocytochemistry [1]
- Immunohistochemistry [8]
- Flow cytometry [2]
Submit
Validation data
Reference
Comment
Report error
- Product number
- TA501915 - Provider product page

- Provider
- OriGene
- Proper citation
- OriGene Cat#TA501915, RRID:AB_11125642
- Product name
- SSSCA1 mouse monoclonal antibody, clone OTI2F5 (formerly 2F5)
- Antibody type
- Monoclonal
- Description
- SSSCA1 mouse monoclonal antibody, clone OTI2F5 (formerly 2F5)
- Host
- Mouse
- Conjugate
- Unconjugated
- Epitope
- ZNRD2
- Isotype
- IgG
- Antibody clone number
- OTI2F5
- Vial size
- 100 µl
- Concentration
- 0.48 mg/ml
No comments: Submit comment
Supportive validation
- Submitted by
- OriGene (provider)
- Main image

- Experimental details
- HEK293T cells were transfected with the pCMV6-ENTRY control (Left lane) or pCMV6-ENTRY SSSCA1 (RC201946, Right lane) cDNA for 48 hrs and lysed. Equivalent amounts of cell lysates (5 ug per lane) were separated by SDS-PAGE and immunoblotted with anti-SSSCA1.
- Validation comment
- WB
- Submitted by
- OriGene (provider)
- Main image

- Experimental details
- Western blot analysis of extracts (35ug) from 9 different cell lines by using anti-SSSCA1 monoclonal antibody (HepG2: human; HeLa: human; SVT2: mouse; A549: human; COS7: monkey; Jurkat: human; MDCK: canine; PC12: rat; MCF7: human) at 1:200 dilution.
- Validation comment
- WB
- Submitted by
- OriGene (provider)
- Main image

- Experimental details
- Western blot analysis of extracts (10ug) from a mouse cell line and 3 different mouse tissues by using anti-SSSCA1 monoclonal antibody.(1:200)
- Validation comment
- WB
Supportive validation
- Submitted by
- OriGene (provider)
- Main image

- Experimental details
- Anti-SSSCA1 mouse monoclonal antibody (TA501915) immunofluorescent staining of COS7 cells transiently transfected by pCMV6-ENTRY SSSCA1(RC201946).
- Validation comment
- IF
Supportive validation
- Submitted by
- OriGene (provider)
- Main image

- Experimental details
- Immunohistochemical staining of paraffin-embedded Carcinoma of Human lung tissue using anti-SSSCA1 mouse monoclonal antibody. (TA501915)
- Validation comment
- IHC
- Submitted by
- OriGene (provider)
- Main image

- Experimental details
- Immunohistochemical staining of paraffin-embedded Adenocarcinoma of Human ovary tissue using anti-SSSCA1 mouse monoclonal antibody. (TA501915)
- Validation comment
- IHC
- Submitted by
- OriGene (provider)
- Main image

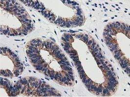
- Experimental details
- Immunohistochemical staining of paraffin-embedded Adenocarcinoma of Human endometrium tissue using anti-SSSCA1 mouse monoclonal antibody. (TA501915)
- Validation comment
- IHC
- Submitted by
- OriGene (provider)
- Main image

- Experimental details
- Immunohistochemical staining of paraffin-embedded Human prostate tissue within the normal limits using anti-SSSCA1 mouse monoclonal antibody. (TA501915)
- Validation comment
- IHC
- Submitted by
- OriGene (provider)
- Main image

- Experimental details
- Immunohistochemical staining of paraffin-embedded Carcinoma of Human prostate tissue using anti-SSSCA1 mouse monoclonal antibody. (TA501915)
- Validation comment
- IHC
- Submitted by
- OriGene (provider)
- Main image

- Experimental details
- Immunohistochemical staining of paraffin-embedded Carcinoma of Human bladder tissue using anti-SSSCA1 mouse monoclonal antibody. (TA501915)
- Validation comment
- IHC
- Submitted by
- OriGene (provider)
- Main image

- Experimental details
- Immunohistochemical staining of paraffin-embedded Human lymph node tissue within the normal limits using anti-SSSCA1 mouse monoclonal antibody. (TA501915)
- Validation comment
- IHC
- Submitted by
- OriGene (provider)
- Main image

- Experimental details
- Immunohistochemical staining of paraffin-embedded Human Kidney tissue within the normal limits using anti-SSSCA1 mouse monoclonal antibody. (TA501915)
- Validation comment
- IHC
Supportive validation
- Submitted by
- OriGene (provider)
- Main image

- Experimental details
- HEK293T cells transfected with either RC201946 overexpress plasmid(Red) or empty vector control plasmid(Blue) were immunostained by anti-SSSCA1 antibody(TA501915), and then analyzed by flow cytometry.
- Validation comment
- FC
- Submitted by
- OriGene (provider)
- Main image

- Experimental details
- Flow cytometric Analysis of Hela cells, using anti-SSSCA1 antibody(TA501915),(Red), compared to a nonspecific negative control antibody(TA50011),(Blue).
- Validation comment
- FC