PAB28108
antibody from Abnova Corporation
Targeting: ZGPAT
dJ583P15.3, FLJ14972, GPATC6, GPATCH6, KIAA1847, MGC44880, ZC3H9, ZC3HDC9, ZIP
Antibody data
- Antibody Data
- Antigen structure
- References [0]
- Comments [0]
- Validations
- Immunohistochemistry [1]
Submit
Validation data
Reference
Comment
Report error
- Product number
- PAB28108 - Provider product page

- Provider
- Abnova Corporation
- Product name
- ZGPAT polyclonal antibody
- Antibody type
- Polyclonal
- Antigen
- Recombinant protein corresponding to amino acids of recombinant ZGPAT.
- Reactivity
- Human
- Host
- Rabbit
- Antigen sequence
EEELSGTKVSAPYYSSWGTLEYHNAMVVGTEEAED
GSAGVRVLYLYPTHKSLKPCPFFLEGKCRFKENCR
FSHGQVVSLDELRPFQDPDLSSLQAGSACLA- Isotype
- IgG
- Vial size
- 100 μl
- Storage
- Store at 4°C. For long term storage store at -20°C.Aliquot to avoid repeated freezing and thawing.
No comments: Submit comment
Supportive validation
- Submitted by
- Abnova Corporation (provider)
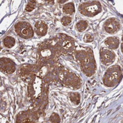
- Main image

- Experimental details
- Immunohistochemical staining of human breast with ZGPAT polyclonal antibody (Cat # PAB28108) shows distinct cytoplasmic positivity in glandular cells at 1:200-1:500 dilution.
- Validation comment
- Immunohistochemistry (Formalin/PFA-fixed paraffin-embedded sections)