Antibody data
- Antibody Data
- Antigen structure
- References [0]
- Comments [0]
- Validations
- Western blot [2]
- Immunohistochemistry [2]
Submit
Validation data
Reference
Comment
Report error
- Product number
- AM09068PU-S - Provider product page

- Provider
- Acris Antibodies GmbH
- Proper citation
- Acris Antibodies GmbH Cat#AM09068PU-S, RRID:AB_1874259
- Product name
- anti Cyclophilin F
- Antibody type
- Monoclonal
- Antigen
- Recombinant human PPIF (30-207 aa) purified from E. coli
- Reactivity
- Human
- Host
- Mouse
- Isotype
- IgG
- Antibody clone number
- AT1F5
- Vial size
- 50 µl
- Concentration
- 1.0 mg/ml
No comments: Submit comment
Supportive validation
- Submitted by
- Acris Antibodies GmbH (provider)
- Main image

- Experimental details
- Western blot analysis: Cell lysates of 293T and HeLa (20 µg) were resolved by SDS-PAGE, transferred to NC membrane and probed with anti-human PPIF Cat.-No. AM09068PU-S (1:500). Proteins were visualized using a goat anti-mouse secondary antibody conjugated to HRP and an ECL detection system.
- Submitted by
- Acris Antibodies GmbH (provider)
- Main image

- Experimental details
- Cell lysates of 293T and HeLa (20ug) were resolved by SDS-PAGE, transferred to NC membrane and probed with anti-human PPIF (1:500). Proteins were visualized using a goat anti-mouse secondary antibody conjugated to HRP and an ECL detection system.
Supportive validation
- Submitted by
- Acris Antibodies GmbH (provider)
- Main image

- Experimental details
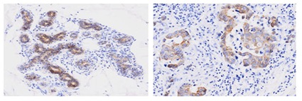
- Paraffin embedded sections of human breast cancer tissue were incubated with anti-human PPIF Cat.-No. AM09068PU-S (1:50) for 2 hours at room temperature. Antigen retrieval was performed in 0.1 M sodium citrate buffer and detected using Diaminobenzidine (DAB).
- Submitted by
- Acris Antibodies GmbH (provider)
- Main image

- Experimental details
- Paraffin embedded sections of human breast cancer tissue were incubated with anti-human PPIF (1:50) for 2 hours at room temperature. Antigen retrieval was performed in 0.1M sodium citrate buffer and detected using Diaminobenzidine (DAB)