RQ5900
antibody from NSJ Bioreagents
Targeting: NFAT5
KIAA0827, NF-AT5, NFATL1, NFATZ, OREBP, TONEBP
Antibody data
- Antibody Data
- Antigen structure
- References [0]
- Comments [0]
- Validations
- Western blot [3]
- Immunocytochemistry [1]
- Immunohistochemistry [2]
- Flow cytometry [2]
Submit
Validation data
Reference
Comment
Report error
- Product number
- RQ5900 - Provider product page

- Provider
- NSJ Bioreagents
- Product name
- NFAT5 Antibody
- Antibody type
- Polyclonal
- Description
- This highly specific NFAT5 antibody is suitable for use in Western blot/Flow cytometry/Direct ELISA applications with human samples.
- Reactivity
- Human
- Host
- Rabbit
- Conjugate
- Unconjugated
- Vial size
- 100 ug
- Concentration
- 0.5mg/ml if reconstituted with 0.2ml sterile DI water
- Storage
- After reconstitution, the NFAT5 antibody can be stored for up to one month at 4oC. For long-term, aliquot and store at -20oC. Avoid repeated freezing and thawing.
No comments: Submit comment
Supportive validation
- Submitted by
- NSJ Bioreagents (provider)
- Main image

- Experimental details
- Western blot testing of human ThP-1 cell lysate with NFAT5 antibody. Predicted molecular weight ~170 kDa.
- Submitted by
- NSJ Bioreagents (provider)
- Main image

- Experimental details
- Western blot testing of human 1) HeLa, 2) HepG2, 3) Jurkat and 4) U-2 OS cell lysate with NFAT5 antibody. Predicted molecular weight ~170 kDa.
- Submitted by
- NSJ Bioreagents (provider)
- Main image

- Experimental details
- Western blot testing of 1) human SiHa, 2) human HepG2, 3) human RT-4, 4) rat PC-12 and 5) mouse RAW264.7 cell lysate with NFAT5 antibody. Predicted molecular weight ~170 kDa.
Supportive validation
- Submitted by
- NSJ Bioreagents (provider)
- Main image

- Experimental details
- Immunofluorescent staining of FFPE human A549 cells with NFAT5 antibody (green) and Alpha Tubulin mAb (red). HIER: steam section in pH6 citrate buffer for 20 min.
Supportive validation
- Submitted by
- NSJ Bioreagents (provider)
- Main image

- Experimental details
- Immunofluorescent staining of FFPE human bladder cancer tissue with NFAT5 antibody (red) and DAPI nuclear stain (blue). HIER: steam section in pH8 EDTA buffer for 20 min.
- Submitted by
- NSJ Bioreagents (provider)
- Main image

- Experimental details
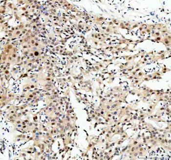
- IHC staining of FFPE human bladder cancer tissue with NFAT5 antibody. HIER: boil tissue sections in pH8 EDTA for 20 min and allow to cool before testing.
Supportive validation
- Submitted by
- NSJ Bioreagents (provider)
- Main image

- Experimental details
- Flow cytometry testing of human HepG2 cells with NFAT5 antibody at 1ug/million cells (blocked with goat sera); Red=cells alone, Green=isotype control, Blue= NFAT5 antibody.
- Submitted by
- NSJ Bioreagents (provider)
- Main image

- Experimental details
- Flow cytometry testing of fixed and permeabilized human HeLa cells with NFAT5 antibody at 1ug/million cells (blocked with goat sera); Red=cells alone, Green=isotype control, Blue= NFAT5 antibody.