Antibody data
- Antibody Data
- Antigen structure
- References [0]
- Comments [0]
- Validations
- Western blot [5]
- Immunoprecipitation [1]
- Immunohistochemistry [7]
Submit
Validation data
Reference
Comment
Report error
- Product number
- RQ4238 - Provider product page

- Provider
- NSJ Bioreagents
- Product name
- GLO1 Antibody / Glyoxalase I
- Antibody type
- Polyclonal
- Description
- This highly specific GLO1 antibody is suitable for use in Western blot/Immunohistochemistry/Immunoprecipitation/ELISA applications with human, mouse and rat samples.
- Reactivity
- Human, Mouse, Rat
- Host
- Rabbit
- Conjugate
- Unconjugated
- Vial size
- 100 ug
- Concentration
- 0.5mg/ml if reconstituted with 0.2ml sterile DI water
- Storage
- After reconstitution, the GLO1 antibody can be stored for up to one month at 4oC. For long-term, aliquot and store at -20oC. Avoid repeated freezing and thawing.
No comments: Submit comment
Supportive validation
- Submitted by
- NSJ Bioreagents (provider)
- Main image

- Experimental details
- Western blot testing of rat 1) brain, 2) testis, 3) spleen, 4) thymus and mouse 5) brain, 6) testis, 7) thymus and 8) liver lysate with GLO1 antibody at 0.5ug/ml. Predicted molecular weight ~21 kDa.
- Submitted by
- NSJ Bioreagents (provider)
- Main image

- Experimental details
- Western blot testing of human 1) HeLa, 2) placenta, 3) MCF7, 4) COLO320, 5) 22RV1, 6) HepG2, 7) A431 and 8) U937 lysate with GLO1 antibody at 0.5ug/ml. Predicted molecular weight ~21 kDa.
- Submitted by
- NSJ Bioreagents (provider)
- Main image

- Experimental details
- Western blot testing of rat 1) brain, 2) testis, 3) spleen, 4) thymus and mouse 5) brain, 6) testis, 7) thymus and 8) liver lysate with GLO1 antibody at 0.5ug/ml. Predicted molecular weight ~21 kDa.
- Submitted by
- NSJ Bioreagents (provider)
- Main image

- Experimental details
- Western blot testing of human 1) HeLa, 2) MCF7, 3) COLO-320, 4) 22RV1, 5) HepG2, 6) A431, 7) U937 and 8) ThP-1 cell lysate with GLO1 antibody at 0.5ug/ml. Predicted molecular weight ~21 kDa.
- Submitted by
- NSJ Bioreagents (provider)
- Main image

- Experimental details
- Western blot testing of 1) rat brain, 2) rat spleen, 3) rat thymus, 4) mouse brain, 5) mouse spleen, 6) mouse thymus and 7) mouse NIH 3T3 cell lysate with GLO1 antibody at 0.5ug/ml. Predicted molecular weight ~21 kDa.
Supportive validation
- Submitted by
- NSJ Bioreagents (provider)
- Main image

- Experimental details
- Immunoprecipitation of GLO1 protein from 500ug of human A431 whole cell lysate with 2ug of GLO1 antibody.
Supportive validation
- Submitted by
- NSJ Bioreagents (provider)
- Main image

- Experimental details
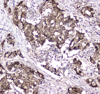
- IHC testing of FFPE human lung cancer tissue with GLO1 antibody at 1ug/ml. Required HIER: steam section in pH6 citrate buffer for 20 min and allow to cool prior to staining.
- Submitted by
- NSJ Bioreagents (provider)
- Main image

- Experimental details
- IHC testing of FFPE human breast cancer tissue with GLO1 antibody at 1ug/ml. Required HIER: steam section in pH6 citrate buffer for 20 min and allow to cool prior to staining.
- Submitted by
- NSJ Bioreagents (provider)
- Main image

- Experimental details
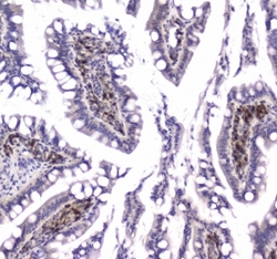
- IHC testing of FFPE rat small intestine tissue with GLO1 antibody at 1ug/ml. Required HIER: steam section in pH6 citrate buffer for 20 min and allow to cool prior to staining.
- Submitted by
- NSJ Bioreagents (provider)
- Main image

- Experimental details
- IHC testing of FFPE rat spleen tissue with GLO1 antibody at 1ug/ml. Required HIER: steam section in pH6 citrate buffer for 20 min and allow to cool prior to staining.
- Submitted by
- NSJ Bioreagents (provider)
- Main image

- Experimental details
- IHC testing of FFPE human breast cancer tissue with GLO1 antibody at 1ug/ml. Required HIER: steam section in pH6 citrate buffer for 20 min and allow to cool prior to staining.
- Submitted by
- NSJ Bioreagents (provider)
- Main image

- Experimental details
- IHC testing of FFPE rat spleen tissue with GLO1 antibody at 1ug/ml. Required HIER: steam section in pH6 citrate buffer for 20 min and allow to cool prior to staining.
- Submitted by
- NSJ Bioreagents (provider)
- Main image

- Experimental details
- IHC testing of FFPE mouse spleen tissue with GLO1 antibody at 1ug/ml. Required HIER: steam section in pH6 citrate buffer for 20 min and allow to cool prior to staining.