Antibody data
- Antibody Data
- Antigen structure
- References [0]
- Comments [0]
- Validations
- Immunohistochemistry [2]
Submit
Validation data
Reference
Comment
Report error
- Product number
- PA5-50243 - Provider product page

- Provider
- Invitrogen Antibodies
- Product name
- NTS Polyclonal Antibody
- Antibody type
- Polyclonal
- Antigen
- Other
- Description
- The antibody detects endogenous levels of total Neurotensin protein.
- Reactivity
- Human
- Host
- Rabbit
- Isotype
- IgG
- Vial size
- 100 μL
- Concentration
- 0.5 mg/mL
- Storage
- -20°C
No comments: Submit comment
Supportive validation
- Submitted by
- Invitrogen Antibodies (provider)
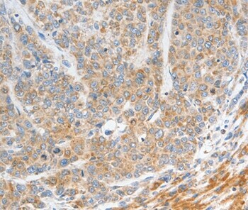
- Main image

- Experimental details
- Immunohistochemical analysis of NTS in paraffin embedded Human gastric cancer tissue using NTS Polyclonal Antibody (Product # PA5-50243) at a 1:20 dilution.
- Submitted by
- Invitrogen Antibodies (provider)
- Main image

- Experimental details
- Immunohistochemical analysis of NTS in paraffin embedded Human gastric cancer tissue using NTS Polyclonal Antibody (Product # PA5-50243) at a 1:20 dilution.