STJ71490
antibody from St John's Laboratory
Targeting: CEP290
3H11Ag, BBS14, CT87, FLJ13615, JBTS5, KIAA0373, LCA10, MKS4, NPHP6, POC3, rd16, SLSN6
Antibody data
- Antibody Data
- Antigen structure
- References [0]
- Comments [0]
- Validations
- Immunohistochemistry [1]
- Other assay [2]
Submit
Validation data
Reference
Comment
Report error
- Product number
- STJ71490 - Provider product page

- Provider
- St John's Laboratory
- Product name
- Anti-CEP290/NPHP6 antibody (Internal) (STJ71490)
- Antibody type
- Polyclonal
- Description
- Goat polyclonal antibody anti-CEP290/NPHP6 (Internal) is suitable for use in ELISA and Western Blot research applications.
- Reactivity
- Human
- Host
- Goat
- Conjugate
- Unconjugated
- Antigen sequence
QSGAESTIPDADQ- Epitope
- NA
- Isotype
- IgG
- Antibody clone number
- NA
- Vial size
- NA
- Concentration
- NA
- Storage
- Store at-20 on receipt and minimise freeze-thaw cycles.
- Handling
- NA
No comments: Submit comment
Supportive validation
- Submitted by
- St John's Laboratory (provider)
- Main image

- Experimental details
- STJ71490 Immunofluorescence analysis of paraformaldehyde fixed HeLa cells, permeabilized with 0. 15% Triton. Primary incubation 1hr (10ug/ml) followed by Alexa Fluor 488 secondary antibody (2ug/ml) , showing nuclear and centrosome staining. The nuclear stain is DAPI (blue). Negative control: Unimmunized goat IgG (10ug/ml) followed by Alexa Fluor 488 secondary antibody (2ug/ml).
- Sample type
- NA
- Validation comment
- NA
- Primary Ab dilution
- NA
- Other comments
- NA
- Secondary Ab
- NA
- Secondary Ab dilution
- NA
- Protocol
- NA
Supportive validation
Supportive validation
- Submitted by
- St John's Laboratory (provider)
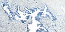
- Main image

- Experimental details
- STJ71490 (8µg/ml) staining of paraffin embedded Human Prostate. Heat induced antigen retrieval with citrate buffer pH 6, HRP-staining.
- Sample type
- NA
- Validation comment
- NA
- Primary Ab dilution
- NA
- Other comments
- NA
- Secondary Ab
- NA
- Secondary Ab dilution
- NA
- Protocol
- NA
Supportive validation
- Submitted by
- St John's Laboratory (provider)
- Main image

- Experimental details
- STJ71490 Negative Control showing staining of paraffin embedded Human Prostate, with no primary antibody.
- Sample type
- NA
- Validation comment
- NA
- Primary Ab dilution
- NA
- Other comments
- NA
- Secondary Ab
- NA
- Secondary Ab dilution
- NA
- Protocol
- NA