Antibody data
- Antibody Data
- Antigen structure
- References [0]
- Comments [0]
- Validations
- Western blot [1]
- Immunohistochemistry [1]
Submit
Validation data
Reference
Comment
Report error
- Product number
- AP11016b - Provider product page

- Provider
- Abcepta
- Proper citation
- Abgent Cat#AP11016b, RRID:AB_10820876
- Product name
- WDR51B Antibody (C-term)
- Antibody type
- Polyclonal
- Antigen
- Synthetic peptide
- Description
- Peptide Affinity Purified Rabbit Polyclonal Antibody (Pab)
- Reactivity
- Human
- Host
- Rabbit
- Isotype
- IgG
- Vial size
- 400 µl
- Concentration
- 0.5 mg/ml
- Storage
- Maintain refrigerated at 2-8°C for up to 6 months. For long term storage store at -20°C in small aliquots to prevent freeze-thaw cycles.
No comments: Submit comment
Supportive validation
- Submitted by
- Abcepta (provider)
- Main image

- Experimental details
- Western blot analysis of WDR51B Antibody (C-term) Pab (Cat. #AP11016b) pre-incubated without(lane 1) and with(lane 2) blocking peptide in MDA-MB453 cell line lysate. WDR51B Antibody (C-term) (arrow) was detected using the purified Pab.
- Primary Ab dilution
- 1:1000
Supportive validation
- Submitted by
- Abcepta (provider)
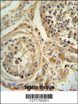
- Main image

- Experimental details
- WDR51B antibody (C-term) (Cat. #AP11016b) immunohistochemistry analysis in formalin fixed and paraffin embedded human testis tissue followed by peroxidase conjugation of the secondary antibody and DAB staining. This data demonstrates the use of the WDR51B antibody (C-term) for immunohistochemistry. Clinical relevance has not been evaluated.
- Primary Ab dilution
- 1:50~100