Antibody data
- Antibody Data
- Antigen structure
- References [0]
- Comments [0]
- Validations
- Western blot [1]
- Immunohistochemistry [1]
Submit
Validation data
Reference
Comment
Report error
- Product number
- R30297 - Provider product page 
- Provider
- NSJ Bioreagents
- Product name
- Hif 2 alpha Antibody
- Antibody type
- Polyclonal
				No comments: Submit comment	
	
			
							
					Supportive validation
					
									
				
				- Submitted by
- NSJ Bioreagents (provider)
- Main image
 
- Experimental details
- Western blot testing of HIF-2 alpha antibody and rat brain tissue lysate
							
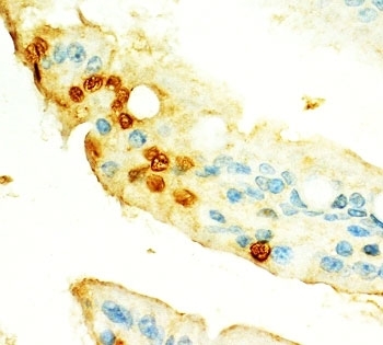
					Supportive validation
					
									
				
		- Submitted by
- NSJ Bioreagents (provider)
- Main image
 
- Experimental details
- IHC-P: HIF-2-alpha antibody testing of rat small intestine tissue