Antibody data
- Antibody Data
- Antigen structure
- References [0]
- Comments [0]
- Validations
- Immunocytochemistry [1]
- Immunohistochemistry [3]
- Flow cytometry [1]
Submit
Validation data
Reference
Comment
Report error
- Product number
- GTX83761 - Provider product page

- Provider
- GeneTex
- Proper citation
- GeneTex Cat#GTX83761, RRID:AB_10729220
- Product name
- PTPRE antibody [2A9]
- Antibody type
- Monoclonal
- Reactivity
- Human
- Host
- Mouse
No comments: Submit comment
Supportive validation
- Submitted by
- GeneTex (provider)
- Main image

- Experimental details
- Anti-PTPRE mouse monoclonal antibody (GTX83761) immunofluorescent staining of COS7 cells transiently transfected with PTPRE
Supportive validation
- Submitted by
- GeneTex (provider)
- Main image

- Experimental details
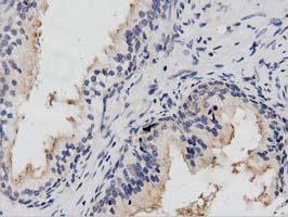
- Immunohistochemical staining of paraffin-embedded Adenocarcinoma of Human endometrium tissue using anti-PTPRE mouse monoclonal antibody. (GTX83761, Dilution 1:50)
- Submitted by
- GeneTex (provider)
- Main image

- Experimental details
- Immunohistochemical staining of paraffin-embedded Carcinoma of Human prostate tissue using anti-PTPRE mouse monoclonal antibody. (GTX83761, Dilution 1:50)
- Submitted by
- GeneTex (provider)
- Main image

- Experimental details
- Immunohistochemical staining of paraffin-embedded Human prostate tissue using anti-PTPRE mouse monoclonal antibody. (GTX83761, Dilution 1:50)
Supportive validation
- Submitted by
- GeneTex (provider)
- Main image

- Experimental details
- HEK293T cells transfected with either RC207950 overexpress plasmid(Red) or empty vector control plasmid(Blue) were immunostained by anti-PTPRE antibody(GTX83761), and then analyzed by flow cytometry.