Antibody data
- Antibody Data
- Antigen structure
- References [0]
- Comments [0]
- Validations
- Western blot [1]
- Immunohistochemistry [3]
Submit
Validation data
Reference
Comment
Report error
- Product number
- PA5-20626 - Provider product page

- Provider
- Invitrogen Antibodies
- Product name
- SPRED3 Polyclonal Antibody
- Antibody type
- Polyclonal
- Antigen
- Synthetic peptide
- Description
- A suggested positive control is human brain tissue lysate. PA5-20626 can be used with blocking peptide PEP-0746.
- Reactivity
- Human
- Host
- Rabbit
- Isotype
- IgG
- Vial size
- 100 μg
- Concentration
- 1 mg/mL
- Storage
- Maintain refrigerated at 2-8°C for up to 3 months. For long term storage store at -20°C
No comments: Submit comment
Supportive validation
- Submitted by
- Invitrogen Antibodies (provider)
- Main image

- Experimental details
- Western Blot analysis of Spred3 in mouse brain tissue lysate with SPRED3 Polyclonal Antibody (Product # PA5-20626) at (A) 2 and (B) 4 µg/mL.
Supportive validation
- Submitted by
- Invitrogen Antibodies (provider)
- Main image

- Experimental details
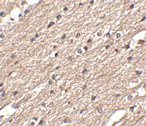
- Immunohistochemistry of Spred3 in human brain tissue with SPRED3 Polyclonal Antibody (Product # PA5-20626) at 2.5 µg/mL.
- Submitted by
- Invitrogen Antibodies (provider)
- Main image

- Experimental details
- Immunofluorescence of spred3 in human brain tissue with SPRED3 Polyclonal Antibody (Product # PA5-20626) at 20 µg/mL.
- Submitted by
- Invitrogen Antibodies (provider)
- Main image

- Experimental details
- Immunohistochemistry of Spred3 in human brain tissue with SPRED3 Polyclonal Antibody (Product # PA5-20626) at 2.5 µg/mL.