Antibody data
- Antibody Data
- Antigen structure
- References [1]
- Comments [0]
- Validations
- Western blot [1]
- Immunohistochemistry [4]
Submit
Validation data
Reference
Comment
Report error
- Product number
- NBP2-36573 - Provider product page

- Provider
- Novus Biologicals
- Product name
- Mouse Monoclonal SLC31A1/CTR1 Antibody
- Antibody type
- Monoclonal
- Description
- Protein G purified.
- Reactivity
- Human, Mouse
- Host
- Mouse
- Isotype
- IgG
- Vial size
- 0.1 mg
- Concentration
- 1.0 mg/ml
- Storage
- Store at 4C short term. Aliquot and store at -20C long term. Avoid freeze-thaw cycles.
Submitted references Inflammation mobilizes copper metabolism to promote colon tumorigenesis via an IL-17-STEAP4-XIAP axis.
Liao Y, Zhao J, Bulek K, Tang F, Chen X, Cai G, Jia S, Fox PL, Huang E, Pizarro TT, Kalady MF, Jackson MW, Bao S, Sen GC, Stark GR, Chang CJ, Li X
Nature communications 2020 Feb 14;11(1):900
Nature communications 2020 Feb 14;11(1):900
No comments: Submit comment
Supportive validation
- Submitted by
- Novus Biologicals (provider)
- Main image

- Experimental details
- Western Blot: SLC31A1/CTR1 Antibody (5E6.1B4) [NBP2-36573] - Analysis of SLC31A1/CTR1 in MCF7 and HeLa at 2 ug/ml.
Supportive validation
- Submitted by
- Novus Biologicals (provider)
- Main image

- Experimental details
- Immunohistochemistry-Paraffin: SLC31A1/CTR1 Antibody (5E6.1B4) [NBP2-36573] - Analysis of a FFPE tissue section of normal skin from a human breast cancer patient (NBP2-30234) using purified CTR1/SLC31A1 antibody clone 5E6.1B4 at 5 ug/ml concentration. The antibody developed a strong cytoplasmic staining in the outer layer of stratum spinosum and the cells of stratum granulosum/ granular layer of skin epidermis. The endothelial cells in the dermis of the section also showed positivity for SLC31A1/CTR1.
- Submitted by
- Novus Biologicals (provider)
- Main image

- Experimental details
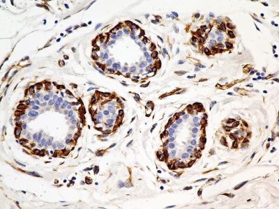
- Immunohistochemistry-Paraffin: SLC31A1/CTR1 Antibody (5E6.1B4) [NBP2-36573] - Analysis of a FFPE tissue section of normal breast tissue from a human breast cancer patient (NBP2-30234) using purified CTR1/SLC31A1 antibody clone 5E6.1B4 at 5 ug/ml concentration. The antibody generated a very strong cytoplasmic staining in the myo-epithelial cells in the tested section.
- Submitted by
- Novus Biologicals (provider)
- Main image

- Experimental details
- Immunohistochemistry-Paraffin: SLC31A1/CTR1 Antibody (5E6.1B4) [NBP2-36573] - Aanalysis of a FFPE tissue section of human small bowel malignant stromal tumor (NBP2-30234) using purified CTR1/SLC31A1 antibody clone 5E6.1B4 at 5 ug/ml concentration. The cancer cells developed moderate to strong positivity for CTR1/SLC31A1 protein.
- Submitted by
- Novus Biologicals (provider)
- Main image

- Experimental details
- Immunohistochemistry-Paraffin: SLC31A1/CTR1 Antibody (5E6.1B4) [NBP2-36573] - Analysis of a formalin fixed and paraffin embedded tissue section of human urinary bladder transitional cell carcinoma (NBP2-30234) using purified CTR1/SLC31A1 antibody clone 5E6.1B4 at 5 ug/ml concentration.