Antibody data
- Antibody Data
- Antigen structure
- References [0]
- Comments [0]
- Validations
- Western blot [2]
- Immunocytochemistry [2]
- Immunohistochemistry [2]
Submit
Validation data
Reference
Comment
Report error
- Product number
- LS-C186079 - Provider product page

- Provider
- LSBio
- Product name
- NDUFA12 / B17.2 Antibody (aa1-145) LS-C186079
- Antibody type
- Polyclonal
- Description
- Immunoaffinity purified
- Reactivity
- Human, Mouse
- Host
- Rabbit
- Storage
- Keep as concentrated solution. Aliquot and store at -20°C or below. Avoid multiple freeze-thaw cycles.
No comments: Submit comment
Enhanced validation
- Submitted by
- LSBio (provider)
- Enhanced method
- Genetic validation
- Main image

- Experimental details
- Sample (30 ug of whole cell lysate). A: Hep G2 . 12% SDS PAGE. NDUFA12 / B17.2 antibody diluted at 1:1000
- Submitted by
- LSBio (provider)
- Enhanced method
- Genetic validation
- Main image

- Experimental details
- Sample (50 ug of whole cell lysate). A: mouse liver. 15% SDS PAGE. NDUFA12 / B17.2 antibody diluted at 1:1000.
Supportive validation
- Submitted by
- LSBio (provider)
- Enhanced method
- Genetic validation
- Main image

- Experimental details
- Immunofluorescence of methanol-fixed HepG2 using NDUFA12 antibody at 1:200 dilution.
- Submitted by
- LSBio (provider)
- Main image

- Experimental details
- Immunofluorescence of methanol-fixed HepG2 using NDUFA12 antibody at 1:200 dilution.
Supportive validation
- Submitted by
- LSBio (provider)
- Enhanced method
- Genetic validation
- Main image

- Experimental details
- IHC of paraffin-embedded Cal27 xenograft using NDUFA12 antibody at 1:500 dilution.
- Submitted by
- LSBio (provider)
- Enhanced method
- Genetic validation
- Main image

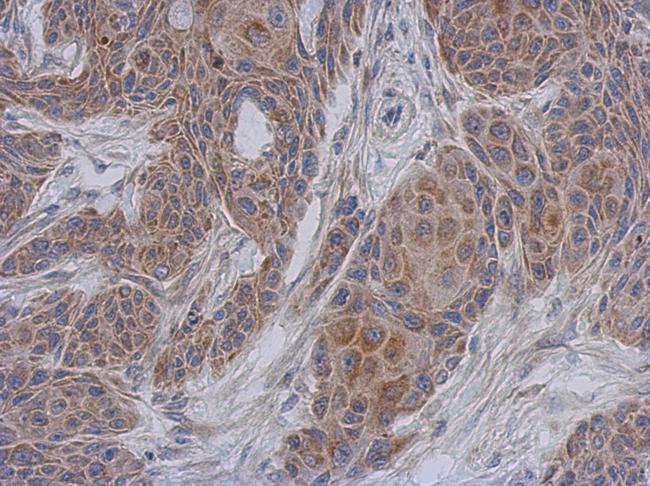
- Experimental details
- IHC of paraffin-embedded Cal27 xenograft using NDUFA12 antibody at 1:500 dilution.