Antibody data
- Antibody Data
- Antigen structure
- References [0]
- Comments [0]
- Validations
- Western blot [1]
- Immunohistochemistry [3]
Submit
Validation data
Reference
Comment
Report error
- Product number
- AP22539PU-N - Provider product page

- Provider
- OriGene
- Product name
- WNT3 (315-329) goat polyclonal antibody, Aff - Purified
- Antibody type
- Polyclonal
- Description
- WNT3 (315-329) goat polyclonal antibody, Aff - Purified
- Host
- Goat
- Conjugate
- Unconjugated
- Epitope
- WNT3
- Antibody clone number
- NULL
- Vial size
- 50 µg
- Concentration
- 0.5 mg/ml
No comments: Submit comment
Supportive validation
- Submitted by
- OriGene (provider)
- Main image

- Experimental details
- Antibody (1 ug/ml) staining of Human Brain lysate (35 ug protein in RIPA buffer). Primary incubation was 1 hour. Detected by chemiluminescence.
- Validation comment
- WB
Supportive validation
- Submitted by
- OriGene (provider)
- Main image

- Experimental details
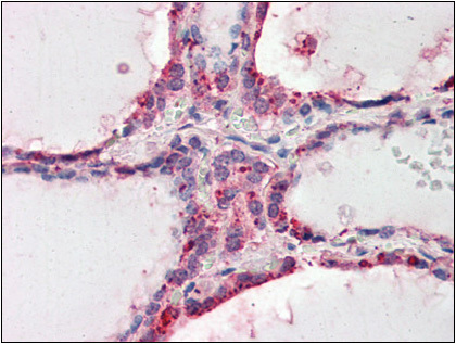
- Human Thyroid (formalin-fixed, paraffin-embedded) stained with WNT3 antibody at 3.75 ug/ml followed by biotinylated anti-goat IgG secondary antibody, alkaline phosphatase-streptavidin and chromogen.
- Validation comment
- IHC
- Submitted by
- OriGene (provider)
- Main image

- Experimental details
- Human Breast (formalin-fixed, paraffin-embedded) stained with WNT3 antibody at 3.75 ug/ml followed by biotinylated anti-goat IgG secondary antibody, alkaline phosphatase-streptavidin and chromogen.
- Validation comment
- IHC
- Submitted by
- OriGene (provider)
- Main image

- Experimental details
- Human Adrenal (formalin-fixed, paraffin-embedded) stained with WNT3 antibody at 3.75 ug/ml followed by biotinylated anti-goat IgG secondary antibody, alkaline phosphatase-streptavidin and chromogen.
- Validation comment
- IHC