Antibody data
- Antibody Data
- Antigen structure
- References [0]
- Comments [0]
- Validations
- Immunocytochemistry [1]
- Immunohistochemistry [1]
Submit
Validation data
Reference
Comment
Report error
- Product number
- PA5-56854 - Provider product page

- Provider
- Invitrogen Antibodies
- Product name
- BCORL1 Polyclonal Antibody
- Antibody type
- Polyclonal
- Antigen
- Recombinant full-length protein
- Description
- BMS151 is also suitable as primary antibody in staining for FACS analysis, BMS151FI can be used for direct staining of cells, BMS151BT can be used in a two-step procedure using the biotin-(strept-)avidin system. Recommended concentration for the unlabelled antibody is 1 - 2 µg/mL and a 1:20 dilution of the labelled antibodies, as determined on SKW6.4 cells.
- Reactivity
- Human
- Host
- Rabbit
- Isotype
- IgG
- Vial size
- 100 µL
- Concentration
- 0.4 mg/mL
- Storage
- Store at 4°C short term. For long term storage, store at -20°C, avoiding freeze/thaw cycles.
No comments: Submit comment
Supportive validation
- Submitted by
- Invitrogen Antibodies (provider)
- Main image

- Experimental details
- Immunofluorescent staining of BCORL1 in human cell line U-2 OS shows positivity in cytoplasm & nucleus but excluded from the nucleoli. Samples were probed using a BCORL1 Polyclonal Antibody (Product # PA5-56854).
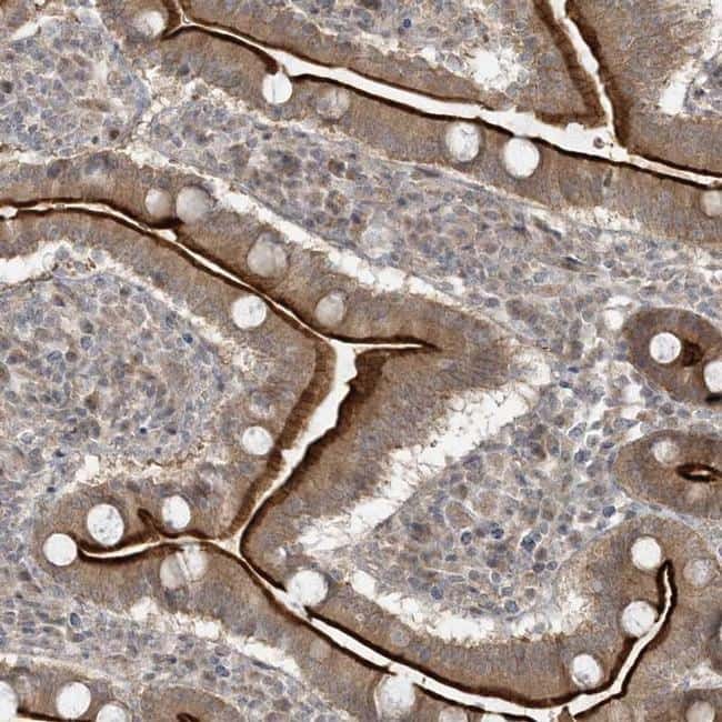
Supportive validation
- Submitted by
- Invitrogen Antibodies (provider)
- Main image

- Experimental details
- Immunohistochemical staining of BCORL1 in human duodenum tissue shows strong luminal membranous positivity in glandular cells. Samples were probed using a BCORL1 Polyclonal Antibody (Product # PA5-56854).