Antibody data
- Antibody Data
- Antigen structure
- References [0]
- Comments [0]
- Validations
- Immunocytochemistry [2]
- Immunohistochemistry [5]
Submit
Validation data
Reference
Comment
Report error
- Product number
- PA5-54219 - Provider product page

- Provider
- Invitrogen Antibodies
- Product name
- CNTRL Polyclonal Antibody
- Antibody type
- Polyclonal
- Antigen
- Recombinant protein fragment
- Description
- Immunogen sequence: EAILERNENL EGELESLKEN LPFTMNEGPF EEKLNFSQVH IMDEHWRGEA LREKLRHRED RLKAQLRHCM SKQAEVLIKG KRQTEGTLHS LRRQVDALGE LVTST Highest antigen sequence identity to the following orthologs: Mouse - 84%, Rat - 84%.
- Reactivity
- Human
- Host
- Rabbit
- Isotype
- IgG
- Vial size
- 100 μL
- Concentration
- 0.1 mg/mL
- Storage
- Store at 4°C short term. For long term storage, store at -20°C, avoiding freeze/thaw cycles.
No comments: Submit comment
Supportive validation
- Submitted by
- Invitrogen Antibodies (provider)
- Main image

- Experimental details
- Immunofluorescent staining of CNTRL in human cell line A-431 shows positivity in cytoplasm & centrosome. Samples were probed using a CNTRL Polyclonal Antibody (Product # PA5-54219).
- Submitted by
- Invitrogen Antibodies (provider)
- Main image

- Experimental details
- Immunofluorecent analysis of CNTRL in human cell line A-431 using CNTRL Polyclonal Antibody (Product # PA5-54219). Staining shows localization to cytosol and centrosome.
Supportive validation
- Submitted by
- Invitrogen Antibodies (provider)
- Main image

- Experimental details
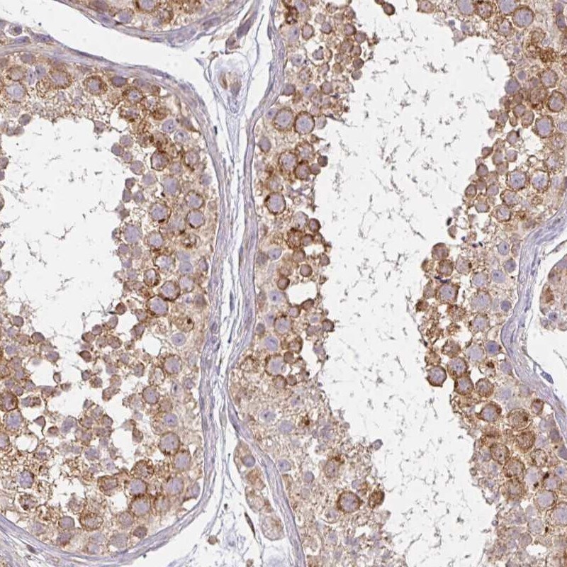
- Immunohistochemical staining of CNTRL in human testis using a CNTRL Polyclonal Antibody (Product # PA5-54219) shows moderate cytoplasmic positivity in cells in seminiferous ducts and Leydig cells.
- Submitted by
- Invitrogen Antibodies (provider)
- Main image

- Experimental details
- Immunohistochemical staining of CNTRL in human skeletal muscle using CNTRL Polyclonal Antibody (Product # PA5-54219) shows very weak cytoplasmic positivity in myocytes.
- Submitted by
- Invitrogen Antibodies (provider)
- Main image

- Experimental details
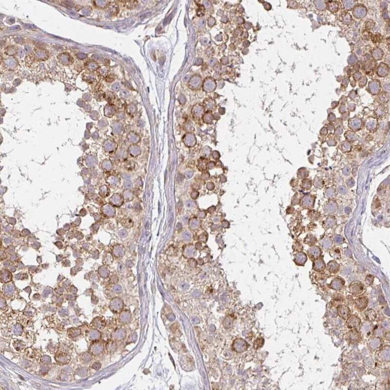
- Immunohistochemical staining of CNTRL in human testis using CNTRL Polyclonal Antibody (Product # PA5-54219) shows moderate cytoplasmic positivity in cells in seminiferous ducts.
- Submitted by
- Invitrogen Antibodies (provider)
- Main image

- Experimental details
- Immunohistochemical staining of CNTRL in human lymph node using CNTRL Polyclonal Antibody (Product # PA5-54219) shows weak cytoplasmic positivity in lymphoid cells.
- Submitted by
- Invitrogen Antibodies (provider)
- Main image

- Experimental details
- Immunohistochemical staining of CNTRL in human testis using a CNTRL Polyclonal Antibody (Product # PA5-54219) shows moderate cytoplasmic positivity in cells in seminiferous ducts and Leydig cells.