Antibody data
- Antibody Data
- Antigen structure
- References [0]
- Comments [0]
- Validations
- Immunocytochemistry [1]
- Immunohistochemistry [5]
Submit
Validation data
Reference
Comment
Report error
- Product number
- PA5-58435 - Provider product page

- Provider
- Invitrogen Antibodies
- Product name
- HAL Polyclonal Antibody
- Antibody type
- Polyclonal
- Antigen
- Recombinant protein fragment
- Description
- Immunogen sequence: LALGLVGEGK MWSPKSGWAD AKYVLEAHGL KPVILKPKEG LALINGTQMI TSLGCEAVER ASAIARQADI VAALTLEVLK GTTKAFDTDI HALRPHRG Highest antigen sequence identity to the following orthologs: Mouse - 95%, Rat - 96%.
- Reactivity
- Human
- Host
- Rabbit
- Isotype
- IgG
- Vial size
- 100 μL
- Concentration
- 0.2 mg/mL
- Storage
- Store at 4°C short term. For long term storage, store at -20°C, avoiding freeze/thaw cycles.
No comments: Submit comment
Supportive validation
- Submitted by
- Invitrogen Antibodies (provider)
- Main image

- Experimental details
- Immunofluorescent staining of HAL in human cell line U-2 OS shows positivity in mitochondria. Samples were probed using a HAL Polyclonal Antibody (Product # PA5-58435).
Supportive validation
- Submitted by
- Invitrogen Antibodies (provider)
- Main image

- Experimental details
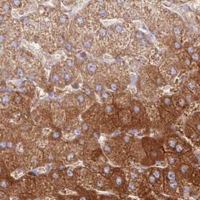
- Immunohistochemical staining of HAL in human liver using HAL Polyclonal Antibody (Product # PA5-58435).
- Submitted by
- Invitrogen Antibodies (provider)
- Main image

- Experimental details
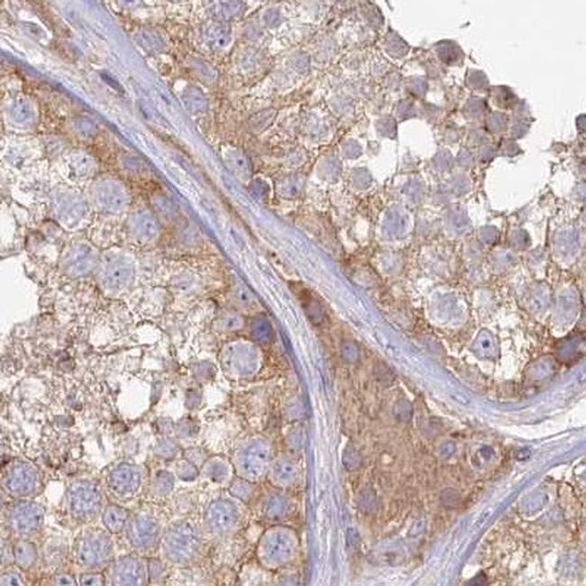
- Immunohistochemical staining of HAL in human testis using HAL Polyclonal Antibody (Product # PA5-58435).
- Submitted by
- Invitrogen Antibodies (provider)
- Main image

- Experimental details
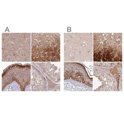
- Immunohistochemical staining of HAL in human cerebral cortex, liver, skin and testis using HAL Polyclonal Antibody (Product # PA5-58435) (A) shows similar protein distribution across tissues to an independent HAL Polyclonal Antibody (B).
- Submitted by
- Invitrogen Antibodies (provider)
- Main image

- Experimental details
- Immunohistochemical staining of HAL in human cerebral cortex using HAL Polyclonal Antibody (Product # PA5-58435).
- Submitted by
- Invitrogen Antibodies (provider)
- Main image

- Experimental details
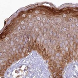
- Immunohistochemical staining of HAL in human skin using HAL Polyclonal Antibody (Product # PA5-58435).