Antibody data
- Antibody Data
- Antigen structure
- References [1]
- Comments [0]
- Validations
- Western blot [4]
- Immunohistochemistry [3]
Submit
Validation data
Reference
Comment
Report error
- Product number
- NBP1-84741 - Provider product page

- Provider
- Novus Biologicals
- Proper citation
- Novus Cat#NBP1-84741, RRID:AB_11001320
- Product name
- Rabbit Polyclonal FAM62A Antibody
- Antibody type
- Polyclonal
- Description
- Immunogen affinity purified. Specificity of human FAM62A antibody verified on a Protein Array containing target protein plus 383 other non-specific proteins.
- Reactivity
- Human, Mouse, Rat
- Host
- Rabbit
- Isotype
- IgG
- Vial size
- 0.1 ml
- Storage
- Store at 4C short term. Aliquot and store at -20C long term. Avoid freeze-thaw cycles.
Submitted references Three-dimensional architecture of extended synaptotagmin-mediated endoplasmic reticulum-plasma membrane contact sites.
Fernández-Busnadiego R, Saheki Y, De Camilli P
Proceedings of the National Academy of Sciences of the United States of America 2015 Apr 21;112(16):E2004-13
Proceedings of the National Academy of Sciences of the United States of America 2015 Apr 21;112(16):E2004-13
No comments: Submit comment
Supportive validation
- Submitted by
- Novus Biologicals (provider)
- Main image

- Experimental details
- Western Blot: FAM62A Antibody [NBP1-84741] - Analysis in human cell line HL-60.
- Submitted by
- Novus Biologicals (provider)
- Main image

- Experimental details
- Western Blot: FAM62A Antibody [NBP1-84741] - Analysis in mouse cell line NIH-3T3 and rat cell line NBT-II.
- Submitted by
- Novus Biologicals (provider)
- Main image

- Experimental details
- Western Blot: FAM62A Antibody [NBP1-84741] - Analysis in U-87MG ATCC cells transfected with control siRNA, target specific siRNA probe #1 and #2, using anti-ESYT1 antibody. Remaining relative intensity is presented. Loading control: anti-GAPDH.
- Submitted by
- Novus Biologicals (provider)
- Main image

- Experimental details
- Western Blot: FAM62A Antibody [NBP1-84741] - Analysis in U-87MG ATCC cells transfected with control siRNA, target specific siRNA probe #1, using Anti-ESYT1 antibody. Remaining relative intensity is presented. Loading control: Anti-GAPDH.
Supportive validation
- Submitted by
- Novus Biologicals (provider)
- Main image

- Experimental details
- Immunohistochemistry-Paraffin: FAM62A Antibody [NBP1-84741] - Staining of human fallopian tube shows strong cytoplasmic positivity in a subset of glandular cells.
- Submitted by
- Novus Biologicals (provider)
- Main image

- Experimental details
- Immunohistochemistry-Paraffin: FAM62A Antibody [NBP1-84741] - Staining of human tonsil shows moderate to strong cytoplasmic positivity in lymphocytes.
- Submitted by
- Novus Biologicals (provider)
- Main image

- Experimental details
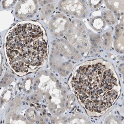
- Immunohistochemistry-Paraffin: FAM62A Antibody [NBP1-84741] - Staining of human kidney shows strong cytoplasmic positivity in cells in glomeruli.