Antibody data
- Antibody Data
- Antigen structure
- References [0]
- Comments [0]
- Validations
- Western blot [3]
Submit
Validation data
Reference
Comment
Report error
- Product number
- PA5-101916 - Provider product page

- Provider
- Invitrogen Antibodies
- Product name
- ZNF280C Polyclonal Antibody
- Antibody type
- Polyclonal
- Antigen
- Synthetic peptide
- Description
- Antibody detects endogenous levels of total ZNF280C.
- Reactivity
- Human
- Host
- Rabbit
- Isotype
- IgG
- Vial size
- 100 μL
- Concentration
- 1 mg/mL
- Storage
- -20°C
No comments: Submit comment
Supportive validation
- Submitted by
- Invitrogen Antibodies (provider)
- Main image

- Experimental details
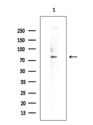
- Western blot analysis of ZNF280C extracts from Rat brain. Samples were incubated with ZNF280C polyclonal antibody (Product # PA5-101916) using a dilution of 1:1,000. Observed bands: 80 kDa.
- Submitted by
- Invitrogen Antibodies (provider)
- Main image

- Experimental details
- Western blot analysis of ZNF280C extracts from Mouse testis. Samples were incubated with ZNF280C polyclonal antibody (Product # PA5-101916) using a dilution of 1:1,000. Observed bands: 85 kDa.
- Submitted by
- Invitrogen Antibodies (provider)
- Main image

- Experimental details
- Western blot analysis of ZNF280C extracts from EC304 cells (heat-shock treatment). Samples were incubated with ZNF280C polyclonal antibody (Product # PA5-101916) using a dilution of 1:1,000. Observed bands: 85 kDa.